
Case history: A 67-year-old female with a history of long standing goiter presented with a short onset history of cough and breathlessness. She did not have any fever or hemoptysis. The chest X-ray was unremarkable.

Case history: A 67-year-old female with a history of long standing goiter presented with a short onset history of cough and breathlessness. She did not have any fever or hemoptysis. The chest X-ray was unremarkable.




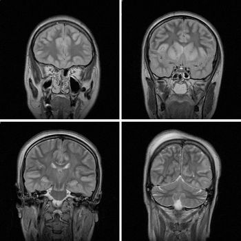
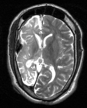
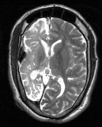
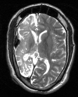
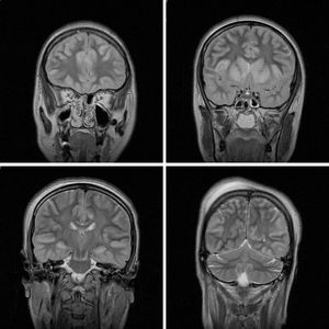
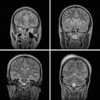
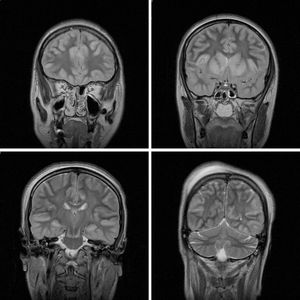
This case is a 26-year-old female in whom MRI imaging was done24 hours after an attempted hanging episode.

Published: September 5th 2013 | Updated:

Published: July 16th 2013 | Updated:

Published: December 16th 2013 | Updated:

Published: March 5th 2013 | Updated:

Published: January 2nd 2013 | Updated: