
Seriously injured patients have a better chance of surviving multiple trauma when they are evaluated in the emergency room with whole-body CT, according to a study of more than 4500 cases from Germany.

Seriously injured patients have a better chance of surviving multiple trauma when they are evaluated in the emergency room with whole-body CT, according to a study of more than 4500 cases from Germany.

Distrust of healthcare providers, cultural barriers, lack of information about the benefits of screening, or simply the need to cut corners might all contribute to the levels of compliance for breast cancer screening among minorities, including African American, Hispanic, and lesbian/bisexual women, recent studies show.

The Blue Cross Blue Shield Association has recommended boosting payments to primary care physicians and paying for them with cuts to imaging services. The suggestion came during a congressional hearing on healthcare reform held by the Senate Finance Committee. Imaging proponents say they will challenge any proposal lacking evidence to support it.

Dr. Elias Zerhouni, the first board-certified radiologist to serve as chief of the National Institutes of Health, will rejoin Johns Hopkins University as a senior adviser to the $4 billion Hopkins Medicine institution after a six-and-a-half year stint at the NIH. He will focus on academic medicine innovation.

The American College of Radiology Imaging Network will expand its research scope beyond cancer to add applications that advance clinical care in areas such as neuro and cardiovascular imaging.

Coronary artery stenosis patients age 65 and older have better survival chances when they are treated with drug-coated stents than with bare metal stents, according to findings of a study involving more than a quarter million Medicare recipients.

More than eight years of data from nearly 500 patients suggest that frequent monitoring with CT to look for complications after endovascular repair of abdominal aortic aneurysms is unnecessary and that it could be done instead with ultrasound.

Radiology may no longer be the fairest of all the possible specialty choices for U.S. medical school seniors, according to results of the 2009 National Residency Matching Program. Still, it remains within the top 10 most popular medical specialties.

The Centers for Medicare and Medicaid Services has opened a new chapter in the practice of positron emission tomography with the announcement for a national Medicare payment policy that expands coverage of PET scans in the initial treatment strategy of most solid cancers and for myeloma.

Nuclear physicians praised the Centers for Medicare and Medicaid Services’ decision to expand Medicare coverage of PET scans in the initial treatment strategy of most solid cancers and myeloma. More than a third of Medicare patients will now be able to get PET scans without going through the National Oncologic PET Registry.

The American Institute of Ultrasound in Medicine has launched a social networking site to allow attendees to hook up, discuss, and even blog before, during, and after the group’s 2009 meeting in New York City starting April 2. At least a dozen ultrasound subspecialties are now linked through the site, as well as through Facebook and Twitter.

OK radiologists, listen up. And watchyour iPhone screen, too, because itmay soon be filled with an image you’llneed to interpret.

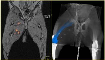
A new 3D fast spin-echo MR sequenceat 3T could one day help musculoskeletalradiologists perform comprehensiveevaluations of articular cartilageof the knee in only five minutes.

Drug-eluting stents provide a significantly higher patency rate after three years in patients with critical limb ischemia compared with bare metal stents. Findings of a recent study suggest that drug-eluting stents can reduce also postintervention treatment rates.

Members of the Congressional Black Caucus have joined the ranks of CT colonography advocates to pressure the Centers for Medicare and Medicaid Services to reverse a proposal to deny reimbursement for CTC screening. Proponents argue that the policy could widen existing colon cancer screening inequalities.


Overpayments, particularly for expensive imaging services, are the main culprit for increasing Medicare costs, according to the head of the influential Medicare Payment Advisory Commission.

Rebuttal to a proposal by the Medicare Payment Advisory Commission to change the formula for calculating practice expense relative value units for advanced imaging exams has come from Access to Medical Imaging Coalition, a partnership among various professional and trade political interests.

Using biotechnology developed from fireflies and seaweed, Johns Hopkins researchers are developing radiopaque stem cells for targeted delivery of therapy in patients with peripheral arterial disease. The technique may allow guidance and tracking of stem cell injections meant to grow new blood vessels and offer a way to confirm therapy response.

Referring physicians and MR imaging centers in Canada could substantially reduce wait times by sticking to standard rules dictating scanning priorities and appropriate clinical indications. Trouble is, according to a study from the University of Calgary, those guidelines already exist but few pay heed.

The Alliance for Radiation Safety in Pediatric Imaging has developed a new set of Image Gently brochures for distribution in physicians’ offices to help parents appreciate the risks and benefits of medical imaging and to track their children’s imaging histories.

The U.S. population underwent seven times as much ionizing radiation exposure from medical imaging in 2006 as it did in 1987, mainly from CT, according to a study released at the 2009 National Council on Radiation Protection and Measurements in Bethesda, MD. Overutilization due to self-referral appears to bear some blame.

The Obama administration has sent to Congress a budget that relies on radiology benefit managers to cut imaging utilization costs, mirroring a recommendation issued last summer by the Government Accountability Office. Just like that recommendation did, the budget proposal drew criticism from imaging proponents.

The $1.1 billion in the economic stimulus plan committed to comparative effectiveness research may be good for weighing the relative merits of medical technologies, but it could slow their adoption and lead to European-style rationing, according to Obama administration critics.

Breast cancer screening rates among young premenopausal women are declining, according to a study on mammography use from the Centers for Disease Control and Prevention. Mammographers worry that the trend could lead to the erosion of screening services and of preventive care in general.

Cardiac MR can demonstrate the effects of airway pressure therapy in the hearts of patients with obstructive sleep apnea. In the first study of its kind, researchers at Ohio State University Medical Center found that it could document therapeutic benefits on structure and function to the heart’s right side.

Diffusion-weighted MRI added to standard T2-weighted scans can help spot cervical cancer in its early stages. A preliminary study from the Institute of Cancer Research in London determined that DWI can spot tumors missed by T2 imaging and bolster management options for women who wish to preserve reproductive organs.

A decision by the Centers for Medicare and Medicaid Services to deny reimbursement for CT colonography screening has shocked radiologists. News that CMS had deemed evidence inadequate to grant coverage left imagers not only dismayed but in disbelief.

The Centers for Medicare and Medicaid Services has proposed that payment for CT colonography be declined, saying there is not enough evidence to support it as a colorectal cancer screening tool.

A Harvard study appears to validate a decision by the Accreditation Council for Graduate Medical Education requiring at least one year of radiological training before residents are considered qualified to take call. A computerized simulation test used in the study showed that first-year residents may lack necessary imaging interpretation skills for the assignment.