
A Centers for Medicare and Medicaid Services proposal meant to streamline billing and other imaging management duties could actually backfire and create administrative havoc, according to radiology administrators.

A Centers for Medicare and Medicaid Services proposal meant to streamline billing and other imaging management duties could actually backfire and create administrative havoc, according to radiology administrators.

A study by U.S. and Egyptian researchers has challenged the conventional wisdom regarding cardiovascular disease.

RSNA president Dr. Gary J. Becker opened with a sports quotation. “Today we are going to learn how to put on our socks and lace our shoes.”

Using functional magnetic resonance imaging, researchers in the U.K. have gained a better understanding of what goes on in the minds of patients who have sustained severe neurological damage.

MRI has been adopted as a definitive measure for fair play by the International Federation of Association Football, the governing body for international soccer competition.

Findings of a study by researchers in Italy suggest C-11 choline PET/CT could diagnose prostate cancer recurrence sooner than transrectal ultrasound, CT, MRI, or bone scintigraphy in patients who have undergone radical prostatectomy.

Interventional radiologists should refrain from performing either kyphoplasty or vertebroplasty unless the procedure, intended mostly for the management of pain from vertebral compression fractures, is done in the context of clinical trials.

The FDA has issued a new set of preemptive recommendations after identifying at least 50 more stroke patients who were exposed to excessive radiation during CT perfusion of the brain.

Using functional MRI, researchers in the U.K. have gained a better understanding of what goes on in the minds of patients who have sustained severe neurological damage.

Though generally deemed safe, high-intensity focused-ultrasound ablation of liver and pancreas cancers can lead to delayed complications. According to Korean researchers, practitioners should be aware of-and watch closely for-local and systemic post-HIFU side effects several years down the road.

Interventional radiologists should refrain from performing either kyphoplasty or vertebroplasty unless the procedure, intended mostly for the management of pain from vertebral compression fractures, is done in the context of clinical trials.

Increasing CT scanning speeds and image resolution combined with automated injection and optimized protocols tailored to specific patient features could reduce iodinated contrast media needed for coronary CT angiography by at least half, according to several papers presented at the 2009 RSNA meeting.

Universal x-ray screening of tuberculosis has limited value, carries potentially adverse effects for patients, and creates an unnecessary cost burden, according to a study presented Monday at the 2009 RSNA meeting.

RSNA president Dr. Gary J. Becker drew upon words of wisdom from legendary college basketball coach John Robert Wooden before a lively audience at the Arie Crown Theater on Sunday, Nov. 29.

Findings of a study released Sunday at the 2009 RSNA meeting by researchers in Boston suggest CT angiography could help radiologists identify the factors that keep some types of lower extremity fractures from healing faster and better than other, similar lesions.

CT colonography can pinpoint cancerous colorectal segments more accurately than colonoscopy, according to Italian investigators. They say virtual, not optical, colonoscopy should be the gold standard for the preoperative staging of colorectal cancer.

Genitourinary scientific papers to be released at the 2009 RSNA meeting underscore attempts to address diagnostic challenges as old as the subspecialty itself by taking advantage of recent technological developments.

Rather than retreating after the hard blow handed them by the Centers for Medicare and Medicaid Services, which refused to grant reimbursement for the application in May, CT colonography researchers will arrive at the 2009 RSNA meeting with more of what CMS wants: hard data.

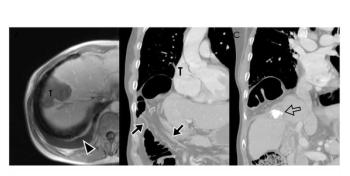
Using CT, Korean researchers have been able to accurately locate and diagnose damage produced in the lungs of patients who have accidentally swallowed fuel while siphoning it from car tanks.

A radiologist, well known for research on diagnostic imaging utilization trends, has pointed to the growing prominence of radiology benefit management companies for slamming the brakes on rapidly growing high-tech imaging utilization.

Imaging experts are cautioning physicians not to rush to CT scanning for H1N1 flu patients, despite studies suggesting that chest CT is better than general radiography.

Partners Healthcare System in Boston has boosted CT contrast safety and saved money through a unique program that integrates contrast policies into the six-hospital system’s electronic medical records system, according to a new report.

Passing of the Affordable Health Care for America Act in the House of Representatives confirmed imaging proponents’ fears that the bill would impose steep cuts to Medicare reimbursement rates and new sale taxes on imaging equipment. But they were pleased to discover that, for the first time, the House has turned its gaze on physician self-referral.

MRI has been adopted as a definitive measure for fair play by the International Federation of Association Football, the governing body for international soccer competition.

Researchers in Germany and the Netherlands have discovered ultrasound- based patterns that can accurately diagnose the presence and stage of metastases in patients with melanoma.

Computer-aided detection software developed especially for coronary CT angiography could boost imagers’ ability to detect clinically relevant stenosis in patients at low to moderate risk of coronary artery disease, according to researchers at the Medical University of South Carolina.

Combining T2-weighted MRI to detect microvascular obstructions with delayed-enhancement imaging to measure myocardial viability offers clinicians a better way to assess myocardial infarction, according to a new study from Japan.

Although radiologists’ call to crack down on imaging self-referral has not found a strong reception in Congress, government agencies and insurance companies at the state level have been gradually tightening their oversight and control of the controversial practice. Radiologists could play an important role in keeping up the momentum.

Health authorities in New Brunswick, Canada, will reexamine 30,000 imaging exams interpreted since 2007 by a radiologist based in the province’s northwestern area who is under investigation for alleged incompetence.

Researchers in Germany and the Netherlands have discovered ultrasound-based patterns that can accurately diagnose the presence and stage of metastases in patients with melanoma.

Published: November 30th 2004 | Updated:

Published: November 30th 2004 | Updated:

Published: January 1st 2007 | Updated:

Published: July 8th 2005 | Updated:

Published: July 13th 2005 | Updated:

Published: January 19th 2005 | Updated: