
Harinder Yant
Advertisement
Articles by Harinder Yant

Advertisement
Latest Updated Articles
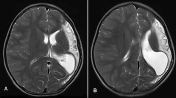
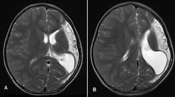
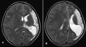
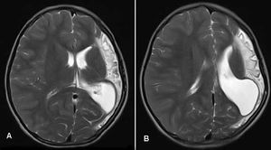
 Dyke-Davidoff-Masson Syndrome Case 2 Dyke-Davidoff-Masson Syndrome Case 2- Published: July 17th 2013 | Updated: 
Advertisement
Advertisement
Trending on Diagnostic Imaging
1
FDA Clears Plaque Assessment Software for Coronary CT Angiography
2
Emerging Research and News in Prostate Cancer Imaging — October 2025
3
Emerging AI Software for CT Plaque Analysis ‘Revolutionizes’ Carotid Artery Assessment
4
Does MRI Provide Better Staging of Esophageal Cancer than CT?
5

