
Case History: 55-year-old female with pain in cervical region radiating to bilateral upper limbs.

Case History: 55-year-old female with pain in cervical region radiating to bilateral upper limbs.

Case History: 7-year-old female with complaints of convulsions for one year.

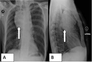
Case History: Two-year-old female with cough with expectoration and high-grade fever.

Case History: 21-year-old female presented with the complaints of swelling of right shoulder for one year.

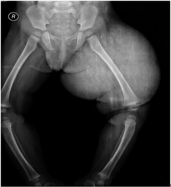
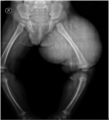
Case History: 2-year-old female with complaints of swelling of vulva, gluteal region, and left thigh since birth.

Case History: 75-year-old male with complaint of occasional headaches for last two years.

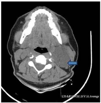
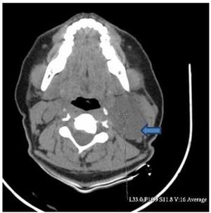
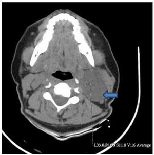
Case History: 75-year-old male presents with complaint of mucus discharge from external opening on skin at anterior aspect of mid part of neck on the left side.

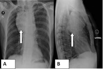
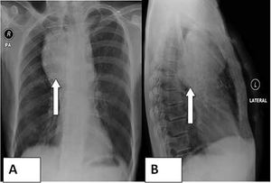
Case History: 58-year-old patient with dyspnoea for eight months. No history of fever. Lab exam and history were unremarkable.

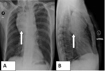
Case history: A 45-year-old female patient was referred to our hospital with painless swelling on left side of neck. She had been aware of the swelling for the last eight months which was gradually increasing in size


A 2-day-old neonate presented to pediatric emergency with gross congenital anomaly.

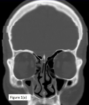
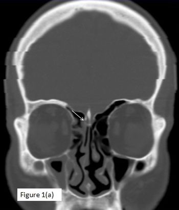
A 42-year-old male with complaints of headache and clear watery discharge from right nostril which increased on leaning forward for 15 days.

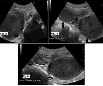
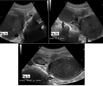
A young girl presented with complaints of dysmenorrhea and cyclic pelvic pain for one year. She had normal menarche and regular menstrual cycle.

Published: July 17th 2013 | Updated:

Published: December 19th 2013 | Updated:

Published: June 3rd 2014 | Updated:

Published: August 19th 2014 | Updated:

Published: September 2nd 2014 | Updated:

Published: October 7th 2014 | Updated: