Mammography Study Reveals Mixed Results with Standalone AI Assessment for Post-Mastectomy Surveillance

News
Article

While standalone AI interpretation offered over 10 percent higher sensitivity than radiologists for patients undergoing post-mastectomy surveillance mammography, it missed over 30 percent of breast cancers.

Could standalone artificial intelligence (AI) software be a viable option for unilateral surveillance mammography in women who have had a mastectomy?

For the retrospective study, recently published in Radiology, researchers compared standalone use of a mammography AI software (Lunit Insight for Mammography, version 1.1.7.1, Lunit) versus unassisted radiologist evaluation for post-mastectomy surveillance mammography in 4,184 asymptomatic women (mean age of 52). Contralateral breast cancer occurred in 111 women, according to the study.

The study authors found that standalone AI provided higher sensitivity than unassisted radiologist interpretation (65.8 percent vs. 55 percent) as well as a higher cancer detection rate (17.4 per 1,000 exams vs. 14.6 per 1,000 exams). Out of 16 cancers only detected with standalone AI, the researchers noted that 10 cases were stage 1 or stage 2, 11 were invasive and 14 cases had no lymph node metastasis.

Mammography Study Reveals Mixed Results with Standalone AI Assessment for Post-Mastectomy Surveillance

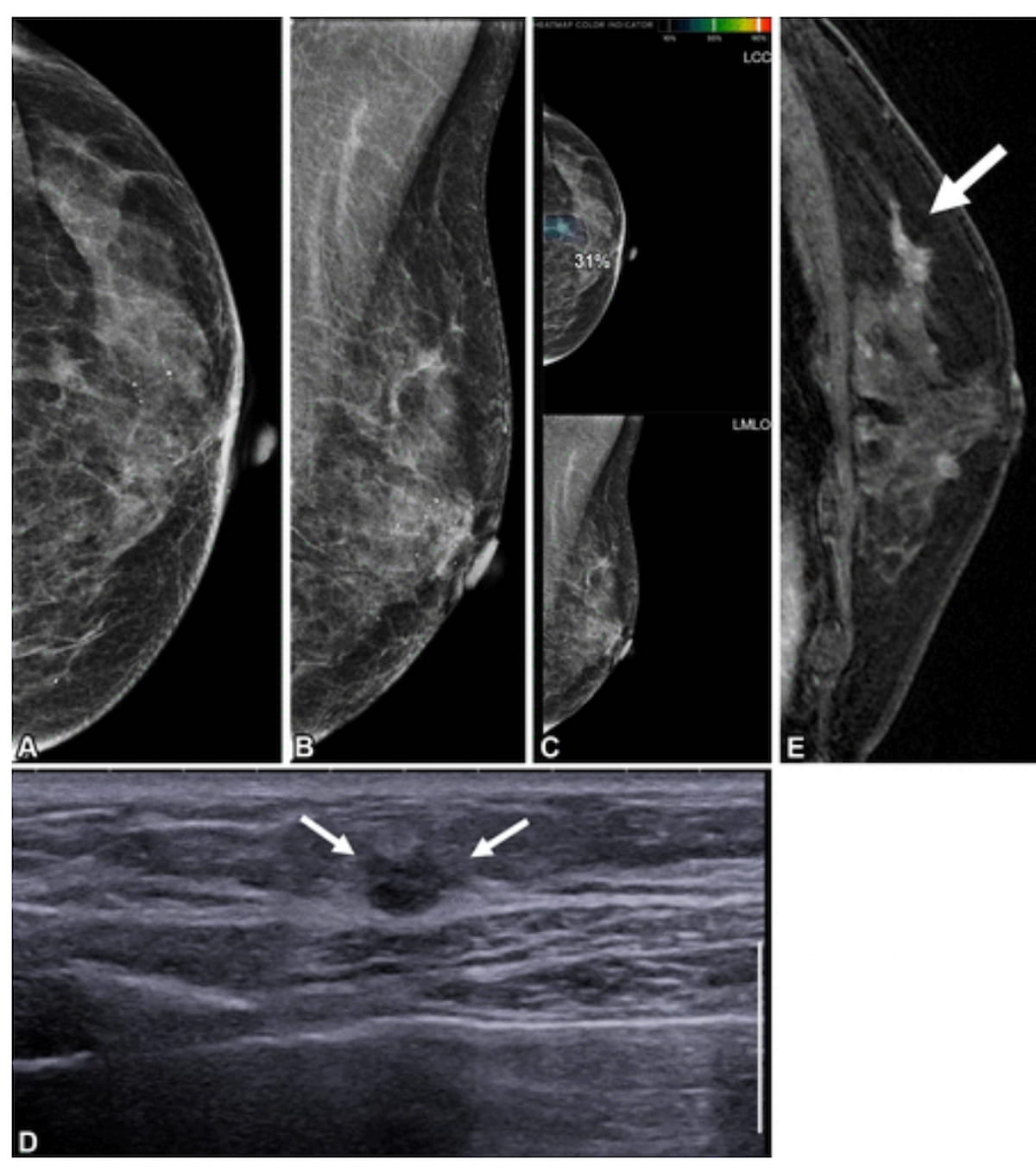
Here one can see mammograms (A and B), artificial intelligence (AI) mammogram assessment (C), supplemental ultrasound (D) and preoperative contrast-enhanced sagittal T1-weighted MRI (E) for a 65-year-old woman who had contralateral second breast cancer 6.3 years after undergoing a right mastectomy. While the initial mammograms were deemed benign, there was an AI score of 31 for a lesion on a craniocaudal mammogram. Supplemental ultrasound and preoperative MRI revealed a lesion that was subsequently diagnosed as ductal carcinoma in situ. (Images courtesy of Radiology.)

However, researchers also noted lower overall specificity for standalone AI in contrast to unassisted radiologist evaluation (91.5 percent vs. 98.1 percent). The study findings also revealed that 34 cases of breast cancer were missed by standalone AI and radiologists.

“ … The relatively high proportion of cancers missed by both AI and radiologists underscores the need for further studies to support the translation of this promising technology into routine clinical practice,” wrote lead study author Su Min Ha, M.D., who is affiliated with the Departments of Radiology at Seoul National University Hospital and the Seoul National University College of Medicine in Seoul, Korea, and colleagues.

Given the nature of the 16 cancers that were only detected with standalone AI, the researchers suggested it may have utility in facilitating an early diagnosis.

“The cancers were mostly stage I or II, estrogen receptor– or progesterone receptor–positive invasive cancers without lymph node metastasis, indicating that AI may support early detection,” posited Ha and colleagues.

The study authors pointed out that standalone AI had a 13 percent higher sensitivity rate (68 percent vs. 55 percent) than unassisted radiologist interpretation and comparable negative predictive value (NPV) (99 percent vs. 98.7 percent) in women with dense breasts. However, the researchers also noted over triple the recall rate with standalone use of the AL software in this patient population (11.4 percent vs. 3.7 percent) and significantly lower positive predictive value (PPV) (16.8 percent vs. 41.7 percent).

In regard to the 38 cases involving false-negative results, supplemental breast ultrasound or magnetic resonance imaging (MRI) surveillance detected breast cancer in 30 of these cases.

“These results imply that negative results obtained from the current version of the AI algorithm may not be appropriate for standalone use and that supplemental multimodality imaging may continue to improve early second breast cancer detection,” emphasized Ha and colleagues.

Three Key Takeaways

1. Standalone AI shows promise in early cancer detection. Standalone use of the AI software demonstrated higher sensitivity (65.8 percent vs. 55 percent) and a higher cancer detection rate than unassisted radiologists, particularly identifying early-stage, invasive cancers without lymph node metastasis. This suggests AI may help facilitate earlier diagnosis in unilateral surveillance mammography.

2. Lower specificity and higher false positives are key limitations.
While standalone AI had higher sensitivity, it showed lower specificity (91.5 percent vs. 98.1 percent), a higher recall rate, and lower PPV, especially in women with dense breasts. This indicates a higher chance of false positives, which could lead to unnecessary anxiety and follow-up imaging.

3. AI should be adjunctive, not standalone, for now. The study found 34 cancers missed by both AI and radiologists, and AI alone missed over a third of breast cancers. The results reinforce that AI is not ready for standalone clinical use, and supplemental imaging modalities (e.g., ultrasound, MRI) remain essential for comprehensive surveillance.

In an accompanying editorial, Liane E. Philpotts, M.D., noted that standalone AI missed more than a third of the breast cancer cases in the study and the 193 false-positive recalls to isolate 16 cases solely detected with AI. While Dr. Philpotts praised the research for its potential utility in fine-tuning AI algorithms, she said AI remains an adjunctive tool at the present time for mammography surveillance.

“ … It is probably unreasonable to think that AI is ready for prime time on its own,” noted Dr. Philpotts, a professor in the breast imaging section of the Department of Radiology and Biomedical Imaging at the Yale School of Medicine.

(Editor’s note: For related content, see “AI-Initiated Recalls After Screening Mammography Demonstrate Higher PPV for Breast Cancer,” “Multicenter Mammography Study Shows Greater Than 10 Percent Increase in Breast Cancer Detection with Adjunctive AI” and “New Mammography Studies Assess Image-Based AI Risk Models and Breast Arterial Calcification Detection.”)

Beyond the inherent limitations of a single-center retrospective study, the authors acknowledged that radiologists had access to prior mammograms that were not considered in AI assessments. The researchers noted that digital breast tomosynthesis and synthetic mammography were not utilized in the study. They also conceded that patients with post-surgical changes were not included in the cohort.

Newsletter

Stay at the forefront of radiology with the Diagnostic Imaging newsletter, delivering the latest news, clinical insights, and imaging advancements for today’s radiologists.

Recent Videos
Current Insights on Interoperability, Enterprise Imaging and AI Integration in Radiology
A Closer Look at the Mammo Enhance Heart Program: An Interview with Arthy Saravanan, MD
Mammography Research: Can Adjunctive AI for DBT Provide Insight into Tumor Biology with Breast Cancer?
© 2025 MJH Life Sciences

All rights reserved.