News
All NewsBlogs
Media
Around the Practice Between the LinesImage IQMedical World NewsPodcastsRad-ViewVideos
Conferences
Conference CoverageConference Listing
DI Executive
More
Resources
CME/CEE-booksEducationInteractive Tool KitsPartnersSponsored

Subscribe

  • News
  • Media
  • Conferences
  • DI Executive
  • Resources
  • Subscribe
  • AI
    • Technology
  • CT
    • Neurology CT
    • Cardiac CT
    • Women's Health CT
    • Oncology CT
  • Facility Management
    • Technology
  • MRI
    • Neurology MRI
    • Oncology MRI
    • Women's Health MRI
    • Cardiac MRI
  • Mammography
  • Molecular Imaging
  • Ultrasound
    • Women's Health Ultrasound
    • Oncology Ultrasound
    • Cardiac Ultrasound
  • X-Ray
    • Orthopedic X-Ray
Spotlight -
RSNA|
Disease Spotlight: Prostate Cancer|
Rad-View: Generic Contrast Agents |
Rad View: PSMA PET Imaging Recommendations|
Unlock AI-Powered Imaging|
Image IQ Quiz
Advertisement

Maximilian Schellinger, MD

Advertisement

Articles by Maximilian Schellinger, MD

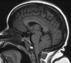
Image IQ: 52 y/o with Vertigo, Headache, Tinnitus

ByMaximilian Schellinger, MD,Erini Makariou, MD
December 22nd 2016

52-year-old female with vertigo, headache, tinnitus, eye twitching, and general instability while walking.

Advertisement

Latest Updated Articles

  • Image IQ: 52 y/o with Vertigo, Headache, Tinnitus
    Image IQ: 52 y/​o with Vertigo, Headache, Tinnitus

    Published: December 22nd 2016 | Updated:



Advertisement
Advertisement

Trending on Diagnostic Imaging

1

Leading Breast Radiologists Discuss the Recent Lancet Study on AI and Interval Breast Cancer

2

Is AI Better Than Neuroradiologists at Evaluating Aneurysm Growth on CTA and MRA Scans?

3

FDA Clears AI-Powered Triage Platform for Digital Breast Tomosynthesis

4

Study Shows Photon-Counting CT Reduces Radiation Exposure by 66 Percent for Patients with Lung Cancer

5

Radiology Roundup of New FDA Clearances — February 1 — February 7

  • Advertise
  • About
  • Contact Us
  • Editorial
  • Editorial Board
  • Do Not Sell My Personal Information
  • Privacy
  • Terms and Conditions
Contact Info

259 Prospect Plains Rd, Bldg H
Cranbury, NJ 08512

609-716-7777

Brand Logo

© 2025 MJH Life Sciences®

All rights reserved.

Home
About Us
News
Contact Us