
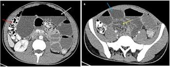
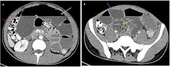
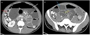
Case History: A 20-year-old male was admitted with three-day history of central, colicky abdominal pain, distension, vomiting and constipation.

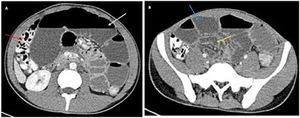
Case History: A 20-year-old male was admitted with three-day history of central, colicky abdominal pain, distension, vomiting and constipation.

Case history: A 4-week-old male neonate was brought with the complaints of vomiting after feeds for the past two weeks. It was projectile, nonbilious vomiting, progressively increasing in severity.


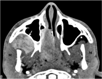
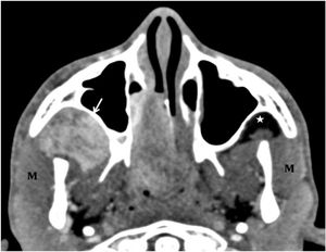
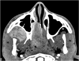
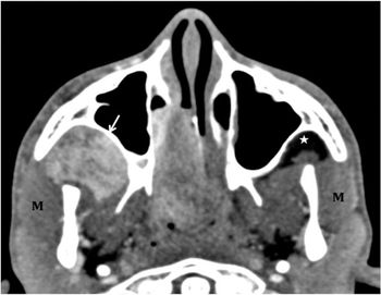
A 24-year-old female with painless, slowly enlarging mass lesion at the angle of mandible on right side 14 months duration.

Published: December 4th 2013 | Updated:

Published: December 5th 2013 | Updated:

Published: November 14th 2012 | Updated:

Published: April 5th 2013 | Updated: