
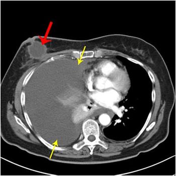
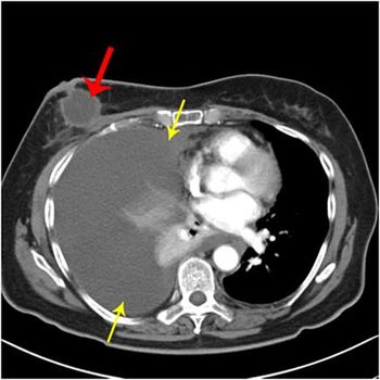
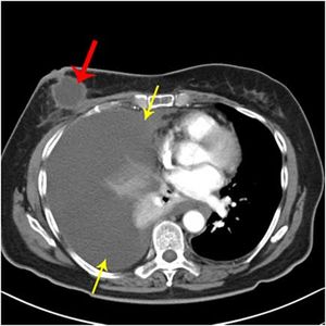
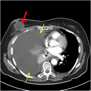
Clinical History: An 81-year-old female was admitted to the hospital with a chief complaint of shortness of breath. Image 1: Note the pleural fluid filling the right lung and circumscribed mass in the right breast.

Published: February 20th 2014 | Updated: