
In a recent interview, Manisha Bahl, M.D., discussed key findings from a new study on AI and digital breast tomosynthesis that she presented at the Society for Breast Imaging (SBI) conference.

In a recent interview, Manisha Bahl, M.D., discussed key findings from a new study on AI and digital breast tomosynthesis that she presented at the Society for Breast Imaging (SBI) conference.

An artificial intelligence algorithm for dynamic contrast-enhanced breast MRI offered a 93.9 percent AUC for breast cancer detection, and a 92.3 percent sensitivity in BI-RADS 3 cases, according to new research presented at the Society for Breast Imaging (SBI) conference.

New research presented at the Society for Breast Imaging (SBI) conference suggests that abbreviated MRI is comparable to full MRI in assessing pathologic complete response to neoadjuvant chemotherapy for breast cancer.

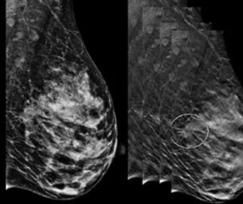
Artificial intelligence (AI) assessment of mammography images may significantly enhance the prediction of invasive breast cancer and ductal carcinoma in situ (DCIS) in women with breast cancer, according to new research presented at the Society for Breast Imaging (SBI) conference.

Discussing findings from a new study presented at the Society for Breast Imaging (SBI) conference, Shahrzad Tavana, M.D., detailed the significant impact of training sessions for MRI technologists in improving breast positioning, optimal field of view and accuracy of sequence submissions to PACS for breast MRI exams.

In a recent video interview, Stephen Rose, M.D., reviewed a variety of factors that can impact interpretation of breast imaging for women with breast implants and discussed recent research showing a 22 percent reduction in cancer detection rate for this population in comparison to women without breast implants.

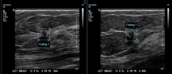
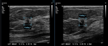
Adjunctive use of an artificial intelligence (AI) software demonstrated nearly equivalent sensitivity and over 28 percent higher accuracy in comparison to radiologist assessment of breast ultrasound images for breast lesions, according to new research presented at the recent Society of Breast Imaging (SBI) conference.

A closer look at the literature suggests the combination of digital breast tomosynthesis (DBT) and two-dimensional (2D) digital mammography (DM) has relatively equivalent cancer detection rates as using DM alone, according to a recent presentation at the Society of Breast Imaging (SBI)/American College of Radiology (ACR) conference.

In a recent lecture at the Society of Breast Imaging (SBI)/American College of Radiology (ACR) conference, Linda Moy, MD, reviewed key tips for optimizing magnetic resonance imaging (MRI) of the breast.

The company will spotlight the breast cancer risk stratification software Volpara Risk Pathways and a new mammography training collaboration with Mammography Educators.

Patients want to know their risk. But, before you provide it, consider these factors to successfully integrate it into your practice.

Patients indicated breast imaging radiologists expressed more empathy over the diagnosis and had more understanding of their scans than other providers.

Although these tests are controversial, they are highly effective in identifying lumps that lead to breast cancer diagnoses.

CEM performance showed no significant difference between women with or without breast implants, and it produced very few complications.

Despite recommendations from the American College of Radiology, most providers opt to delay screening in these women.

The screening mammography non-adherence rate among American Indian women is 1.5 times that of the overall population.

After a decade, roughly 75 percent of women with dense breasts seen in one department now undergo screening whole-breast ultrasound as a supplemental imaging service.

Pediatric breast ultrasound use should be minimized for patients with breast pain but not a palpable mass.

Images can pinpoint which women are at risk for ischemia and nipple necrosis.