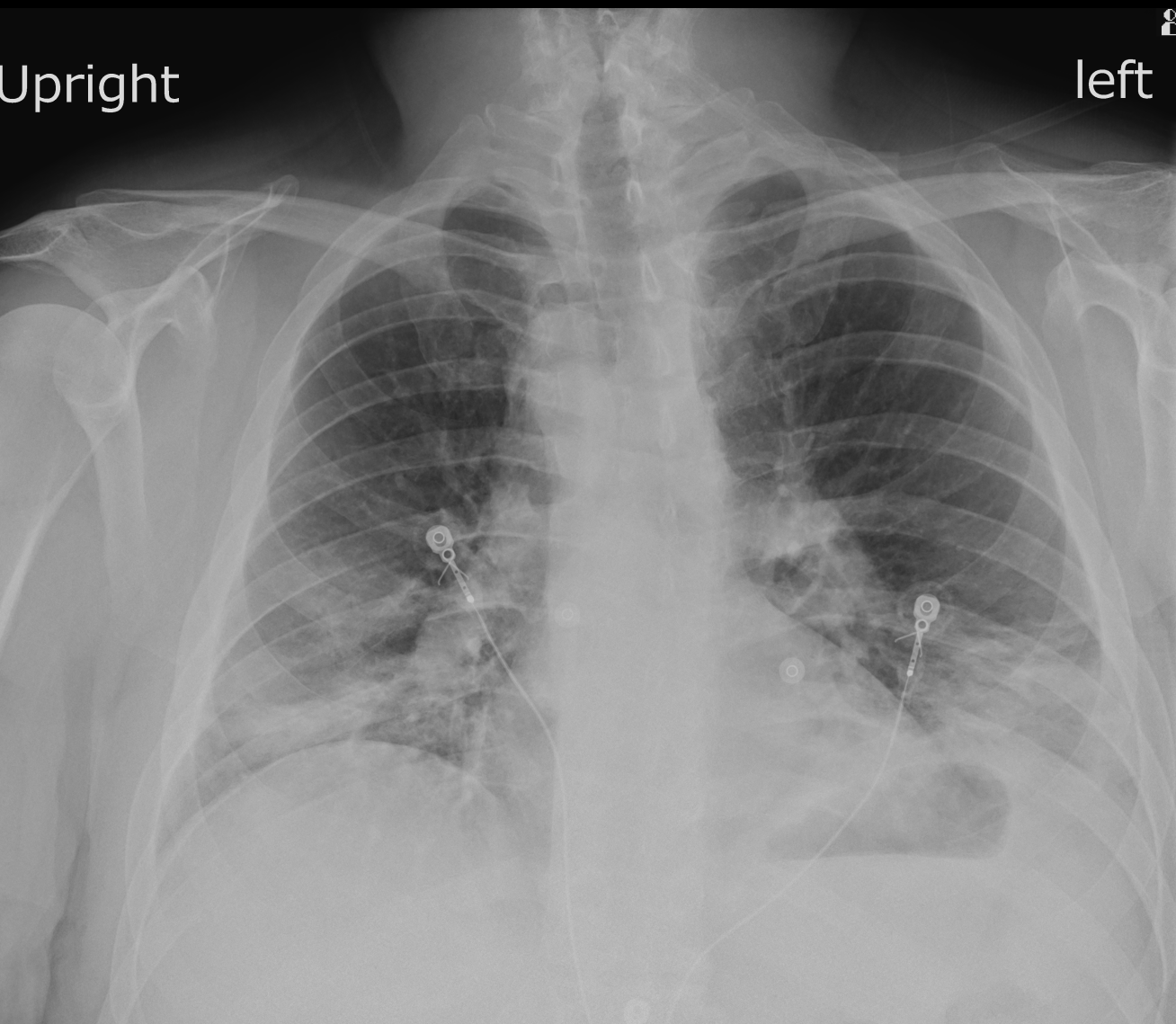
A 43-year-old male presents for suspected PE evaluation. What is the diagnosis?

Case submitted by Soham Shah, M.D., with Texas Radiology Associates.
Stay at the forefront of radiology with the Diagnostic Imaging newsletter, delivering the latest news, clinical insights, and imaging advancements for today’s radiologists.