
|Articles|August 20, 2021
Image IQ Quiz: Elderly Male with Chest Pain, Palpitations and Increased Troponin
Author(s)Edwin Chu, M.D.
What most likely represents the imaging finding?
Advertisement
Case submitted by
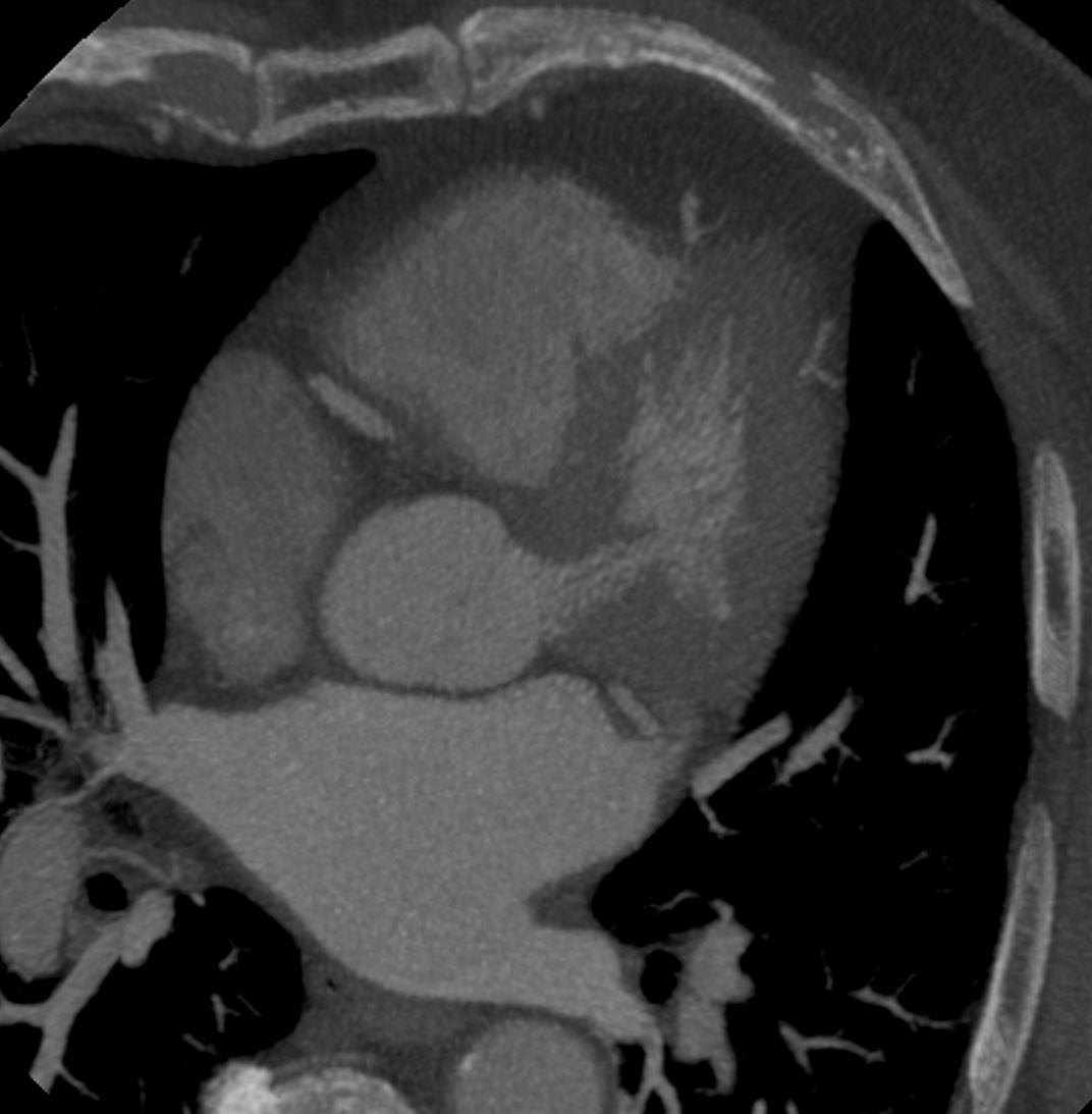
Case: Elderly male with chest pain, palpitations, and mild increase in troponin.
What most likely represents the imaging finding?
For more expert insight and news, subscribe to the Diagnostic Imaging e-Newsletter
Newsletter
Stay at the forefront of radiology with the Diagnostic Imaging newsletter, delivering the latest news, clinical insights, and imaging advancements for today’s radiologists.
Advertisement
Advertisement
Advertisement
Trending on Diagnostic Imaging
1
RSNA: CCTA Study Reveals Link Between Common Air Pollutants and Coronary Artery Stenosis
2
Mammography Study: Can Slab Reconstruction Technology Reinvent Efficiency with DBT?
3
Video: Could an Emerging MRI Contrast Agent Be a Viable Option for Pediatric Patients?
4
IR Update: FDA Clears Emerging Prostate Tissue Ablation System for Intermediate Risk PCa
5




























