
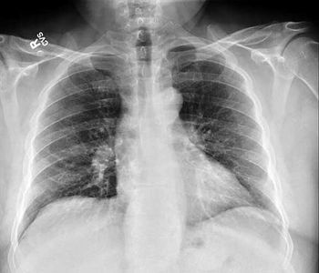
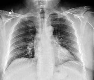
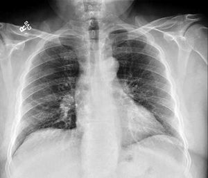
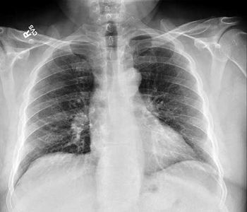
A 59-year-old man with medical history significant for hypertension who presented with an episode of severe coughing, choking and labored breathing which occurred while talking and laughing, raising the suspicion for aspiration. Upon presentation to emergency department, he denied any chest pain, shortness of breath, and coughs. Review of systems was otherwise negative.


