
Allen Elster II, MD
Advertisement
Articles by Allen Elster II, MD

Advertisement
Latest Updated Articles
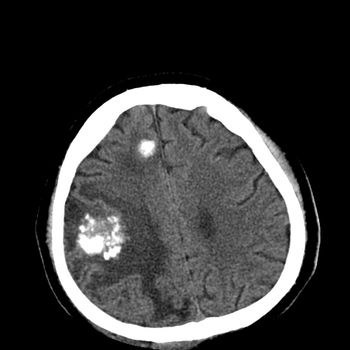
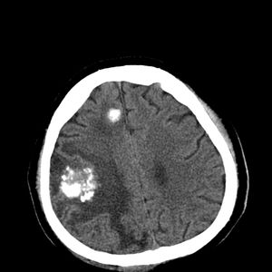
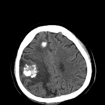
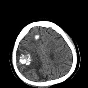
Image IQ: 16-year-old Southeast Asian Immigrant Has SeizurePublished: June 13th 2013 | Updated:
Advertisement
Advertisement

Published: June 13th 2013 | Updated: