
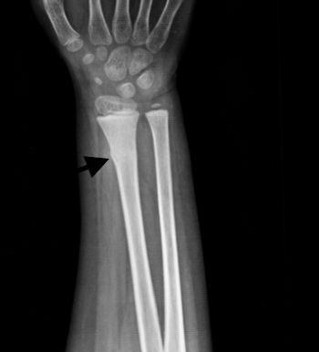
A 7-year-old male presented with pain after falling on an outstretched hand.

Published: July 1st 2014 | Updated:

Published: June 5th 2013 | Updated:

Published: June 4th 2013 | Updated:

Published: June 5th 2013 | Updated:

Published: March 10th 2016 | Updated:

Published: August 28th 2017 | Updated: