
A 45-year-old male patient presented with pain in the right iliac fossa.

A 45-year-old male patient presented with pain in the right iliac fossa.

50-year-old diabetic patient presented with fever, dysuria, and abdominal pain.

Can you properly diagnose this 45-year-old patient?

Can you properly diagnose this 16-year-old?

Can you properly diagnose this 45-year old?

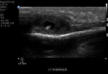
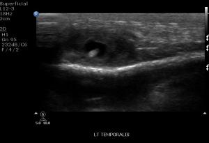
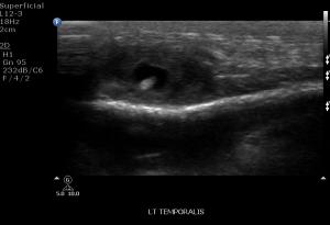
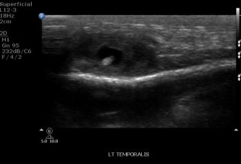
A 13-year-old female presents with painful swelling in the left temporal region.

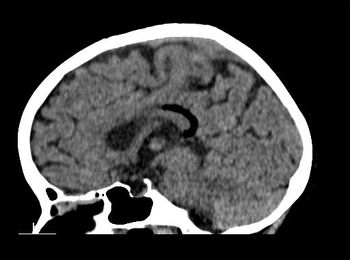
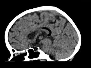
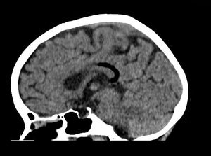
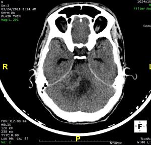
75-year-old male presented with left-sided weakness, headache, and altered sensorium.

28-year-old male presented with sensorineural hearing loss for two months.

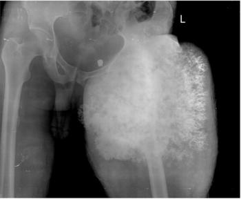
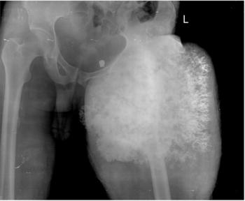
55-year-old male with swelling in left leg for four months.

Case History: Skeletal survey for coarse facial features, short stature, spinal deformity in male child of normal intelligence.

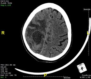
48-year-old female presented with complaint of seizures.

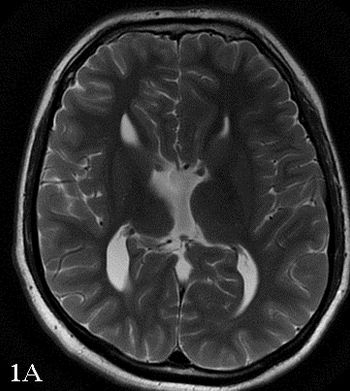
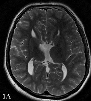
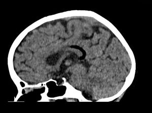
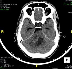
30-year-old male presented with nonspecific headaches.

Published: January 23rd 2015 | Updated:

Published: February 6th 2015 | Updated:

Published: October 16th 2015 | Updated:

Published: November 16th 2015 | Updated:

Published: January 7th 2016 | Updated:

Published: January 27th 2017 | Updated: