
Ankur Wadhera, MD
Advertisement
Articles by Ankur Wadhera, MD

Advertisement
Latest Updated Articles
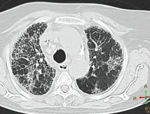
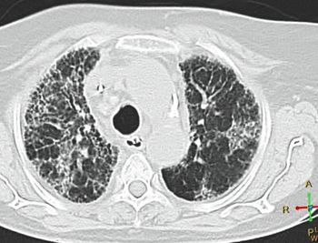
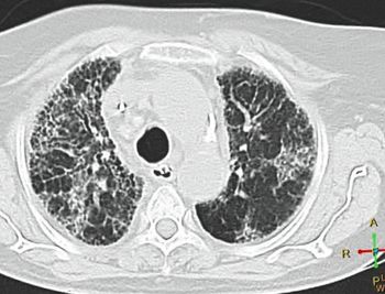
Usual Interstitial PneumoniaPublished: March 28th 2013 | Updated:
Advertisement
Advertisement
Trending on Diagnostic Imaging
1
Can AI Assessment of Non-Calcified Plaque Volume Enhance CT Assessment of MACE Risk Beyond CAC Scoring?
2
Study Looks at Combining PCCT and Lung Texture Analysis for Evaluating ILD in Patients with Systemic Sclerosis
3
Radiology Interviews: Highlights from RSNA 2025
4
Emerging Advances in Radiology Presented at the RSNA Conference
5

