News
All NewsBlogs
Media
Around the Practice Between the LinesImage IQMedical World NewsPodcastsRad-ViewVideos
Conferences
Conference CoverageConference Listing
DI Executive
More
Resources
CME/CEE-booksEducationInteractive Tool KitsPartnersSponsored

Subscribe

  • News
  • Media
  • Conferences
  • DI Executive
  • Resources
  • Subscribe
  • AI
    • Technology
  • CT
    • Neurology CT
    • Cardiac CT
    • Women's Health CT
    • Oncology CT
  • Facility Management
    • Technology
  • MRI
    • Neurology MRI
    • Oncology MRI
    • Women's Health MRI
    • Cardiac MRI
  • Mammography
  • Molecular Imaging
  • Ultrasound
    • Women's Health Ultrasound
    • Oncology Ultrasound
    • Cardiac Ultrasound
  • X-Ray
    • Orthopedic X-Ray
Spotlight -
RSNA|
Disease Spotlight: Prostate Cancer|
Rad-View: Generic Contrast Agents |
Rad View: PSMA PET Imaging Recommendations|
Unlock AI-Powered Imaging|
Image IQ Quiz
Advertisement

Araceli Cabanillas, M.D.

Advertisement

Articles by Araceli Cabanillas, M.D.

Image IQ Quiz: 30-Yeear-Old Patient with Knee Pain

Image IQ Quiz: 30-Year-Old Patient with Knee Pain

ByAraceli Cabanillas, M.D.
December 19th 2023

Review the case study and test your knowledge to make the correct diagnosis.

Image IQ Quiz: Acute Pain in Achilles Tendon Region

Image IQ Quiz: Acute Pain in Achilles Tendon Region

ByAraceli Cabanillas, M.D.
July 4th 2023

Review the case study and test your knowledge to make the correct diagnosis.

Image IQ Quiz: Patient Presents with Dizziness

ByAraceli Cabanillas, M.D.
January 28th 2021

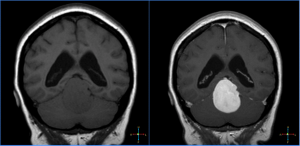
Can you diagnose this patient with dizziness?

Advertisement

Latest Updated Articles

  • Image IQ Quiz: Patient Presents with Dizziness
    Image IQ Quiz: Patient Presents with Dizziness

    Published: January 28th 2021 | Updated:



Advertisement
Advertisement

Trending on Diagnostic Imaging

1

Fujifilm Sonosite Unveils Next-Generation Point-of-Care Ultrasound Device

2

Can Contrast-Enhanced Mammography Offer a Viable Option for Pre-Op Assessment of Pathologic Nipple Involvement?

3

A Closer Look at New Guidelines for Molecular Imaging of Renal Masses: An Interview with Steven Rowe, MD, Part 1

4

Can Ultrasound-Derived Fat Fraction Provide a Viable Alternative for Quantifying Hepatic Steatosis?

5

FDA Grants De Novo Approval for Home Use of Prenatal Ultrasound Platform

  • Advertise
  • About
  • Contact Us
  • Editorial
  • Editorial Board
  • Do Not Sell My Personal Information
  • Privacy
  • Terms and Conditions
Contact Info

259 Prospect Plains Rd, Bldg H
Cranbury, NJ 08512

609-716-7777

Brand Logo

© 2025 MJH Life Sciences®

All rights reserved.

Home
About Us
News
Contact Us