
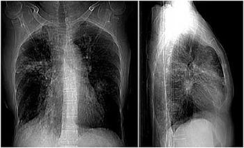
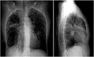
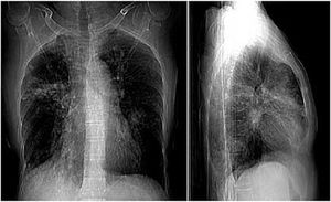
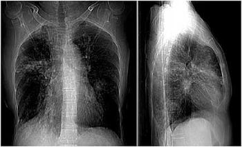
Case History: 60-year-old female with complaint of breathlessness during rest, unrelated to smoke/dust; non-purulent non-blood stained whitish expectorant in cough; fever.

Case History: 60-year-old female with complaint of breathlessness during rest, unrelated to smoke/dust; non-purulent non-blood stained whitish expectorant in cough; fever.

Published: April 8th 2014 | Updated: