
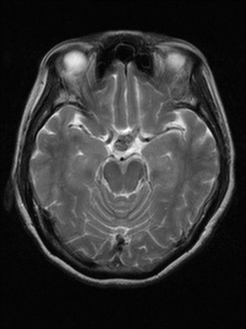
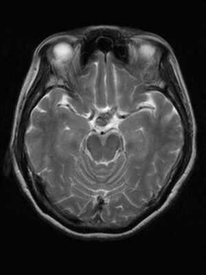
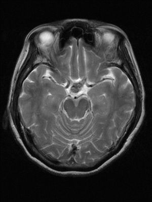
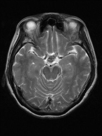
A 55-year-old female presented with a one-month history of excessive thirst and polyuria. She had an operation for adenocarcinoma of the lung about 21 months ago.

A 55-year-old female presented with a one-month history of excessive thirst and polyuria. She had an operation for adenocarcinoma of the lung about 21 months ago.

A 55-year-old female found to have a cardiac mass during evaluation of dizziness. Cardiac CT showed lesion of soft tissue density confined in right atrium.

A 49-year-old male suffered from mild right hand numbness for several months. The cervical MRI showed one well-defined lesion lobular lesion in right side posterior epidural space of C5-6.

Published: June 12th 2012 | Updated:

Published: September 26th 2012 | Updated:

Published: September 26th 2012 | Updated: