
Case History: 28-year-old, G1P0, 12 weeks gestation with dark vaginal discharge.

Case History: 28-year-old, G1P0, 12 weeks gestation with dark vaginal discharge.

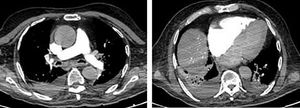
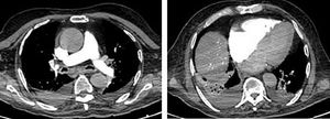
Clinical History: An 83-year old, right cerebellar infarct, post tracheostomy, clinically stable patient was brought to the radiology department for CT scan of thorax with clinical suspicion of tracheo-esophageal fistula.

Published: January 31st 2014 | Updated:

Published: June 21st 2016 | Updated: