
Clinical History: A 47-year-old female patient complaining from tender mass in upper outer left breast. Clinically cord-like structures were palpable in the upper outer quadrant of her left breast.

Clinical History: A 47-year-old female patient complaining from tender mass in upper outer left breast. Clinically cord-like structures were palpable in the upper outer quadrant of her left breast.

Clinical History: A 48-year-old female presented with vaginal bleeding, urinary frequency and lower abdominal pain.

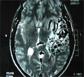
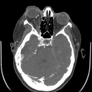
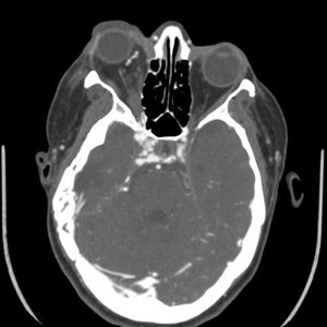
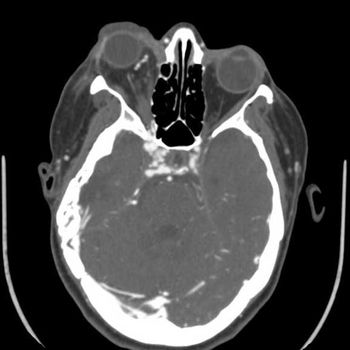
Case History: A 28-year-old man presented with history of pulsing noise in the head and progressive right hemiparesis.


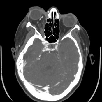
Clinical History: A 54-year-old man presented with upper lid swelling, conjunctival chemosis, and proptosis of the right eye.

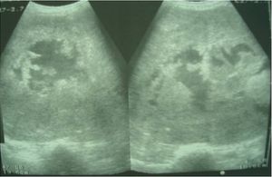
Case History: A 54-year-old female complaining of left parotid swelling for three months


Case History: A 12-year-old male complaining of skull expansion, facial deformity, nasal stuffiness, proptosis and visual impairment.

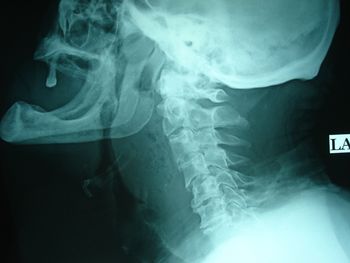
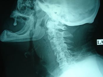
Case history: A 74-year-old male complaining of from difficulty swallowing, fever and neck pain.

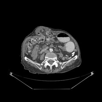
A 55-year-old woman presented to the surgical emergency unit with symptoms of acute intestinal obstruction for the last three days and worsening over the last 24 hours.

Published: October 2nd 2013 | Updated:

Published: October 3rd 2013 | Updated:

Published: October 3rd 2013 | Updated:

Published: October 4th 2013 | Updated:

Published: October 8th 2013 | Updated:

Published: November 21st 2013 | Updated: