
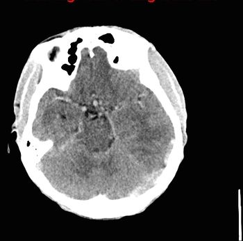
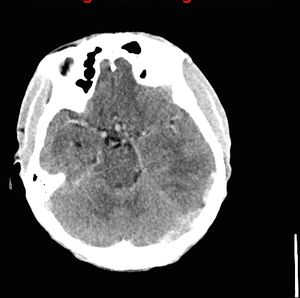
33-year-old male with history of cyanotic congenital heart disease status post multiple palliative cardiac surgeries.

33-year-old male with history of cyanotic congenital heart disease status post multiple palliative cardiac surgeries.

29-year-old female with history of remote right knee injury.

9-year-old male presents with acute onset abdominal pain with fever, vomiting, and diarrhea.

10-year-old male presents to the emergency department with left testicular pain and swelling for the last four days.

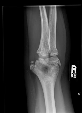
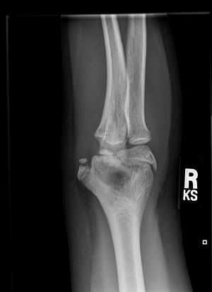
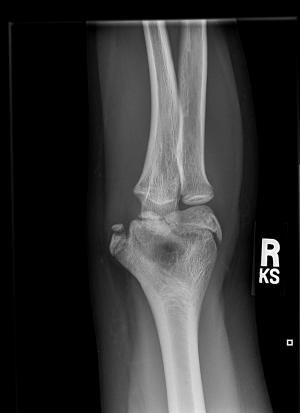
A 12-year-old boy presents to the emergency department with acute pain in the medial aspect of his right elbow after pitching in a baseball game.

Published: September 11th 2014 | Updated:

Published: November 6th 2014 | Updated:

Published: September 18th 2014 | Updated:

Published: June 6th 2015 | Updated:

Published: August 20th 2015 | Updated: