
You must be the new pediatric radiologist.

You must be the new pediatric radiologist.

The reason why some attendings refuse to dictate

As radiologists, we are experts at finding things. Nothing gets by the skilled radiologists!

50 Shades of Grey (Radiology Style)

There was an old lady...

Here's the amazingly anatomically correct spider man.


Just because we can image, does not mean we should.

So who's more internal?




An impressive group created from radiation

It takes seven years to digest chewing gum?

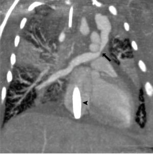
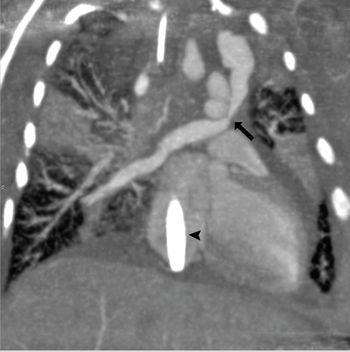
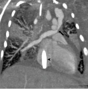
Supracardiac total anomalous pulmonary venous return (TAPVR) case study: A term newborn infant developed profound respiratory distress shortly after birth. After a negative echocardiogram, venovenous ECMO was performed. A cardiac CTA was requested, but complicated by the fact that the patient was on ECMO.

The Image Gently campaign that never had a chance.

"Your son's handwriting is illegible!"

Radiologists are the real dictators.

I just found out I passed my boards! Here are my recalls.

Humpty Dumpty sat on a wall...


You must take pride in your dictations. Your reports are a reflection of you as a radiologist.

Check out James Chang, MD's latest comic.

Check out the latest comic from James Chang, MD

Check out James Chang, MD's latest radiology comic.

Check out James Chang, MD's latest radiology comic.

James Chang, MD's latest comic, inspired by Theodore Keats's 2008 column, "Tell it like it is."

James Chang, MD's latest comic takes on the recent news investigation into radiologists' use of recalls for board exam prep.

Check out James Chang, MD's latest comic.

Check out James Chang, MD's latest comic.

Published: November 14th 2013 | Updated:

Published: July 19th 2012 | Updated:

Published: January 28th 2013 | Updated:

Published: July 10th 2012 | Updated:

Published: November 15th 2011 | Updated:

Published: December 13th 2011 | Updated: