
CHICAGO - From dose-reduction and workflow solutions to MR and mammo innovations, the RSNA 2012 exhibit floor was buzzing with new products. Here’s a sampling.

CHICAGO - From dose-reduction and workflow solutions to MR and mammo innovations, the RSNA 2012 exhibit floor was buzzing with new products. Here’s a sampling.

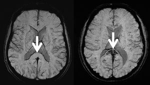
CHICAGO - High-altitude cerebral edema, the end stage of severe acute mountain sickness - once thought to be reversible - causes microbleeding on the brain.

CHICAGO - Many patients are confused about what radiologists do, but they want to know their image reader. It ’s time to up the education and interaction.

Published: November 29th 2012 | Updated:

Published: November 29th 2012 | Updated:

Published: December 3rd 2012 | Updated: