News
All NewsBlogs
Media
Around the Practice Between the LinesImage IQMedical World NewsPodcastsRad-ViewVideos
Conferences
Conference CoverageConference Listing
DI Executive
More
Resources
CME/CEE-booksEducationInteractive Tool KitsPartnersSponsored

Subscribe

  • News
  • Media
  • Conferences
  • DI Executive
  • Resources
  • Subscribe
  • AI
    • Technology
  • CT
    • Neurology CT
    • Cardiac CT
    • Women's Health CT
    • Oncology CT
  • Facility Management
    • Technology
  • MRI
    • Neurology MRI
    • Oncology MRI
    • Women's Health MRI
    • Cardiac MRI
  • Mammography
  • Molecular Imaging
  • Ultrasound
    • Women's Health Ultrasound
    • Oncology Ultrasound
    • Cardiac Ultrasound
  • X-Ray
    • Orthopedic X-Ray
Spotlight -
RSNA|
Disease Spotlight: Prostate Cancer|
Rad-View: Generic Contrast Agents |
Rad View: PSMA PET Imaging Recommendations|
Unlock AI-Powered Imaging|
Image IQ Quiz
Advertisement

Kathryn Adamson, MSc

Advertisement

Articles by Kathryn Adamson, MSc

Multislice SPECT/CT gains wider clinical acceptance

ByGopinath Gnanasegaran, MD,Kathryn Adamson, MSc
February 11th 2010

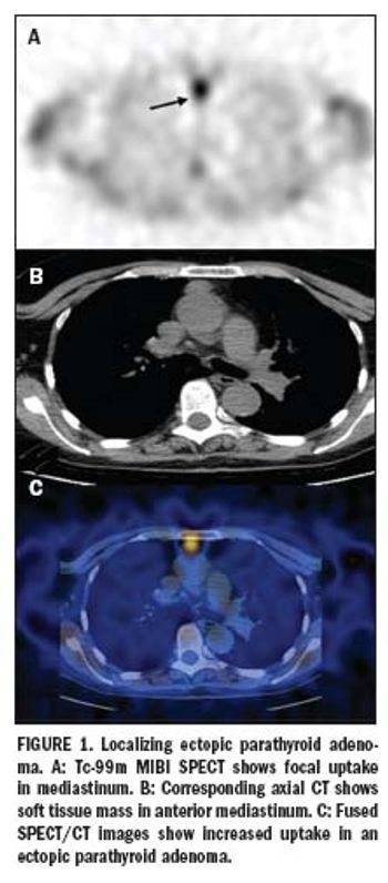
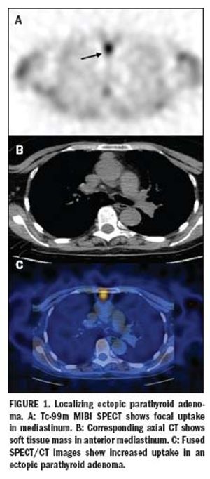
Multimodality imaging is rapidly becoming an essential tool, particularly in oncology, where many publications have focused on a role for PET/CT.

Advertisement

Latest Updated Articles

  • Multislice SPECT/CT gains wider clinical acceptance
    Multislice SPECT/​CT gains wider clinical acceptance

    Published: February 11th 2010 | Updated:



Advertisement
Advertisement

Trending on Diagnostic Imaging

1

Current Perspectives on Digital Breast Tomosynthesis in Women with Dense Breasts

2

Breast MRI and High-Risk Lesions: What a New Meta-Analysis Reveals

3

The Move Toward More Comprehensive Screening with Computed Tomography: An Interview with David Yankelevitz, MD

4

FDA Clears CT-Based AI Triage Platform from Aidoc

5

Multicenter Study Affirms Value of Updated AASLD Criteria for Surveillance of Hepatocellular Carcinoma

  • Advertise
  • About
  • Contact Us
  • Editorial
  • Editorial Board
  • Do Not Sell My Personal Information
  • Privacy
  • Terms and Conditions
Contact Info

259 Prospect Plains Rd, Bldg H
Cranbury, NJ 08512

609-716-7777

Brand Logo

© 2025 MJH Life Sciences®

All rights reserved.

Home
About Us
News
Contact Us