
Matteo Battista, TSRM
Advertisement
Articles by Matteo Battista, TSRM
Advertisement
Latest Updated Articles
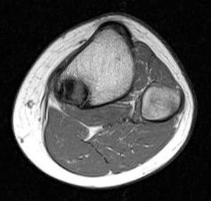
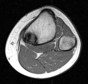
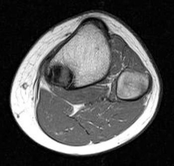
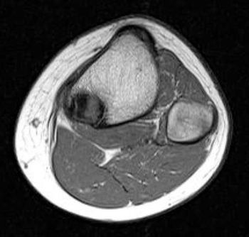
 Fibrolipoma Fibrolipoma- Published: July 26th 2013 | Updated: 
 Nonossifying Fibroma (Fibroxanthoma) Nonossifying Fibroma (Fibroxanthoma)- Published: March 1st 2013 | Updated: 
Advertisement
Advertisement


