News
All NewsBlogs
Media
Around the Practice Between the LinesImage IQMedical World NewsPodcastsRad-ViewVideos
Conferences
Conference CoverageConference Listing
DI Executive
More
Resources
CME/CEE-booksEducationInteractive Tool KitsPartnersSponsored

Subscribe

  • News
  • Media
  • Conferences
  • DI Executive
  • Resources
  • Subscribe
  • AI
    • Technology
  • CT
    • Neurology CT
    • Cardiac CT
    • Women's Health CT
    • Oncology CT
  • Facility Management
    • Technology
  • MRI
    • Neurology MRI
    • Oncology MRI
    • Women's Health MRI
    • Cardiac MRI
  • Mammography
  • Molecular Imaging
  • Ultrasound
    • Women's Health Ultrasound
    • Oncology Ultrasound
    • Cardiac Ultrasound
  • X-Ray
    • Orthopedic X-Ray
Spotlight -
RSNA|
Disease Spotlight: Prostate Cancer|
Rad-View: Generic Contrast Agents |
Rad View: PSMA PET Imaging Recommendations|
Unlock AI-Powered Imaging|
Image IQ Quiz
Advertisement

Mindy Yang Licurse, MD

Advertisement

Articles by Mindy Yang Licurse, MD

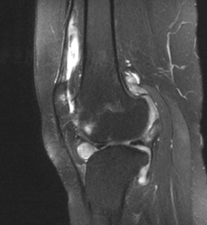
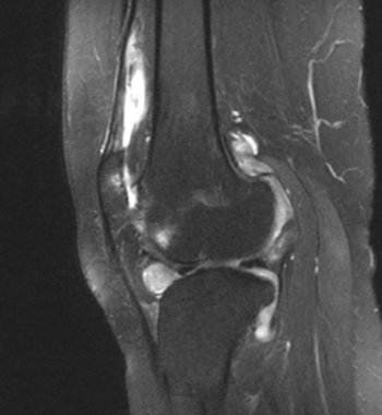
Image IQ: 11-year old Female with Bilateral Knee Swelling

ByMindy Yang Licurse, MD
October 2nd 2014

An 11-year-old female presents with persistent chronic swelling of the right greater than left knees and stiffness limiting mobility.

Advertisement

Latest Updated Articles

  • Image IQ: 11-year old Female with Bilateral Knee Swelling
    Image IQ: 11-year old Female with Bilateral Knee Swelling

    Published: October 2nd 2014 | Updated:



Advertisement
Advertisement

Trending on Diagnostic Imaging

1

FDA Clears AI Software for Opportunistic Multisystem Computed Tomography Screening

2

FDA Clears Radiotherapy System with 20-Fold Increase in PET Imaging Sensitivity for Tumor Detection

3

Study: MRI May Help Predict Outcomes in Treatment for Triple-Negative Breast Cancer

4

Where Do Things Stand with AI-Powered Plaque Quantification for CCTA Exams?: An Interview with Ron Blankstein, MD

5

Another Take on the OLA for Maintaining Certification with the American Board of Radiology

  • Advertise
  • About
  • Contact Us
  • Editorial
  • Editorial Board
  • Do Not Sell My Personal Information
  • Privacy
  • Terms and Conditions
Contact Info

259 Prospect Plains Rd, Bldg H
Cranbury, NJ 08512

609-716-7777

Brand Logo

© 2025 MJH Life Sciences®

All rights reserved.

Home
About Us
News
Contact Us