
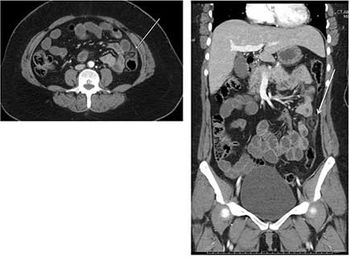
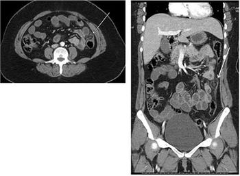
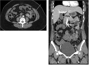
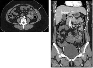
Clinical History: A 42-year-old woman with no significant past medical history presented with three days of sharp left sided abdominal pain with associated nausea and anorexia.

Clinical History: A 42-year-old woman with no significant past medical history presented with three days of sharp left sided abdominal pain with associated nausea and anorexia.

Published: February 19th 2014 | Updated: