News
All NewsBlogs
Media
Around the Practice Between the LinesImage IQMedical World NewsPodcastsRad-ViewVideos
Conferences
Conference CoverageConference Listing
DI Executive
More
Resources
CME/CEE-booksEducationInteractive Tool KitsPartnersSponsored

Subscribe

  • News
  • Media
  • Conferences
  • DI Executive
  • Resources
  • Subscribe
  • AI
    • Technology
  • CT
    • Neurology CT
    • Cardiac CT
    • Women's Health CT
    • Oncology CT
  • Facility Management
    • Technology
  • MRI
    • Neurology MRI
    • Oncology MRI
    • Women's Health MRI
    • Cardiac MRI
  • Mammography
  • Molecular Imaging
  • Ultrasound
    • Women's Health Ultrasound
    • Oncology Ultrasound
    • Cardiac Ultrasound
  • X-Ray
    • Orthopedic X-Ray
Spotlight -
RSNA|
Disease Spotlight: Prostate Cancer|
Rad-View: Generic Contrast Agents |
Rad View: PSMA PET Imaging Recommendations|
Unlock AI-Powered Imaging|
Image IQ Quiz
Advertisement

Rohini Gupta, MD

Advertisement

Articles by Rohini Gupta, MD

Bouveret’s Syndrome Due to Cholecystoduodenal Fistula

ByBinit Sureka, MD, DNB,Rohini Gupta, MD
January 14th 2014

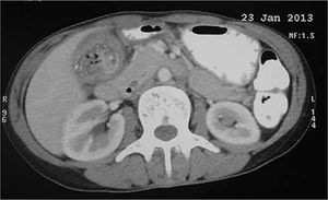
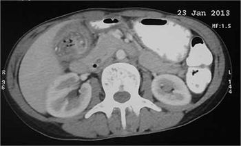
Case History: A 44-year-old female admitted with severe, colicky right upper quadrant pain radiating through to her back and one episode of vomiting of gallstones.

Advertisement

Latest Updated Articles

  • Bouveret’s Syndrome Due to Cholecystoduodenal Fistula
    Bouveret’s Syndrome Due to Cholecystoduodenal Fistula

    Published: January 14th 2014 | Updated:



Advertisement
Advertisement

Trending on Diagnostic Imaging

1

RSNA: CCTA Study Reveals Link Between Common Air Pollutants and Coronary Artery Stenosis

2

The Potential of Mammography Image-Based AI Models for Assessing Risk: An Interview with Constance Lehman, MD

3

RSNA: Ultrasound Study Reveals Vascular Complications Associated with Cosmetic Fillers

4

Video: Could an Emerging MRI Contrast Agent Be a Viable Option for Pediatric Patients?

5

Mammography Study: Can Slab Reconstruction Technology Reinvent Efficiency with DBT?

  • Advertise
  • About
  • Contact Us
  • Editorial
  • Editorial Board
  • Do Not Sell My Personal Information
  • Privacy
  • Terms and Conditions
Contact Info

259 Prospect Plains Rd, Bldg H
Cranbury, NJ 08512

609-716-7777

Brand Logo

© 2025 MJH Life Sciences®

All rights reserved.

Home
About Us
News
Contact Us