
Ronald S. Adler, PhD, MD
Advertisement
Articles by Ronald S. Adler, PhD, MD

Advertisement
Latest Updated Articles
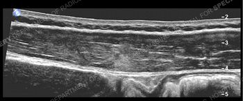
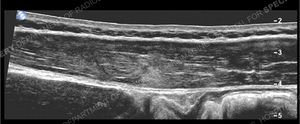
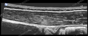
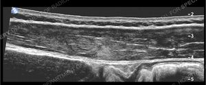
Right Rectus Abdominus Hypertrophy with StrainPublished: August 26th 2013 | Updated:
Advertisement
Advertisement

Published: August 26th 2013 | Updated: