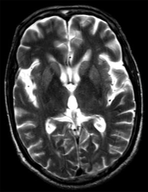
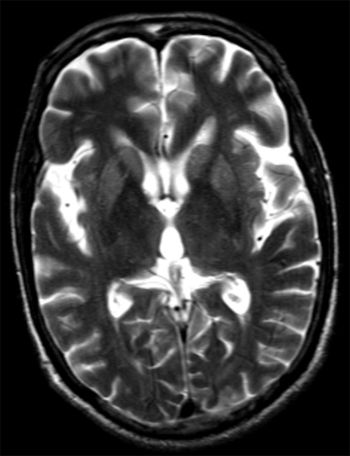
Creutzfeldt Jakob’s DiseaseByRozil Gandhi, DMRD, DNBOctober 22nd 2013Case History: A 70-year-old male, non-diabetic, non-hypertensive presented with acute history of sudden onset memory loss and hallucinations.