News
All NewsBlogs
Media
Around the Practice Between the LinesImage IQMedical World NewsPodcastsRad-ViewVideos
Conferences
Conference CoverageConference Listing
DI Executive
More
Resources
CME/CEE-booksEducationInteractive Tool KitsPartnersSponsored

Subscribe

  • News
  • Media
  • Conferences
  • DI Executive
  • Resources
  • Subscribe
  • AI
    • Technology
  • CT
    • Neurology CT
    • Cardiac CT
    • Women's Health CT
    • Oncology CT
  • Facility Management
    • Technology
  • MRI
    • Neurology MRI
    • Oncology MRI
    • Women's Health MRI
    • Cardiac MRI
  • Mammography
  • Molecular Imaging
  • Ultrasound
    • Women's Health Ultrasound
    • Oncology Ultrasound
    • Cardiac Ultrasound
  • X-Ray
    • Orthopedic X-Ray
Spotlight -
RSNA|
Disease Spotlight: Prostate Cancer|
Rad-View: Generic Contrast Agents |
Rad View: PSMA PET Imaging Recommendations|
Unlock AI-Powered Imaging|
Image IQ Quiz
Advertisement

Sepideh Sefidbakht, MD

Advertisement

Articles by Sepideh Sefidbakht, MD

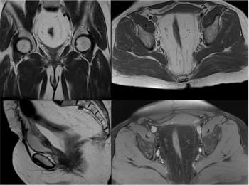
Image IQ: 45-year-old Woman, Nonspecific Pelvic Pain and Fullness

BySepideh Sefidbakht, MD
April 30th 2014

45-year-old woman with nonspecific pelvic pain and fullness, after MRI underwent cystoscopy and biopsy which revealed proliferative cystitis.

Image IQ: 25-year-old, Progressive Lower Extremity Weakness

BySepideh Sefidbakht, MD
April 17th 2014

25-year-old man presents with progressive lower extremity weakness.

Advertisement

Latest Updated Articles

  • Image IQ: 25-year-old, Progressive Lower Extremity Weakness
    Image IQ: 25-year-old, Progressive Lower Extremity Weakness

    Published: April 17th 2014 | Updated:

  • Image IQ: 45-year-old Woman, Nonspecific Pelvic Pain and Fullness
    Image IQ: 45-year-old Woman, Nonspecific Pelvic Pain and Fullness

    Published: April 30th 2014 | Updated:



Advertisement
Advertisement

Trending on Diagnostic Imaging

1

Can Ultrasound-Derived Fat Fraction Provide a Viable Alternative for Quantifying Hepatic Steatosis?

2

A Closer Look at New Guidelines for Molecular Imaging of Renal Masses: An Interview with Steven Rowe, MD, Part 1

3

FDA Grants De Novo Approval for Home Use of Prenatal Ultrasound Platform

4

Can Contrast-Enhanced Mammography Offer a Viable Option for Pre-Op Assessment of Pathologic Nipple Involvement?

5

Fujifilm Sonosite Unveils Next-Generation Point-of-Care Ultrasound Device

  • Advertise
  • About
  • Contact Us
  • Editorial
  • Editorial Board
  • Do Not Sell My Personal Information
  • Privacy
  • Terms and Conditions
Contact Info

259 Prospect Plains Rd, Bldg H
Cranbury, NJ 08512

609-716-7777

Brand Logo

© 2025 MJH Life Sciences®

All rights reserved.

Home
About Us
News
Contact Us