
Case History: 7-year-old male with left upper limb weakness that started two years following a motor vehicle accident.

Case History: 7-year-old male with left upper limb weakness that started two years following a motor vehicle accident.

Case History: 70-year-old male with left-sided weakness and history of myocardial infarction four years prior.

Case History: Patient presented for follow up after completion of chemotherapy and radiotherapy for hypopharyngeal cancer.

Case History: 30-year-old male patient with lower back pain.

Case History: 30-year-old male with discomfort in left groin region due to mass/swelling for one year.

Case History: 2-year-old female with complains of difficulty breathing, paroxysmal coughing, and wheezing for one day.

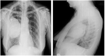
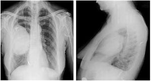
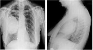
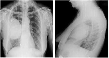
Case History: 21-year-old female presented with the complaints of swelling of right shoulder for one year.

Case History: 65-year-old woman with dry cough, sore throat and mild fever, had upper airway infection diagnosis and similar attacks in previous years.

Published: April 22nd 2014 | Updated:

Published: March 24th 2015 | Updated:

Published: February 3rd 2015 | Updated:

Published: May 12th 2015 | Updated:

Published: January 5th 2016 | Updated:

Published: January 12th 2016 | Updated: