
Case History: 55-year-old female with pain in cervical region radiating to bilateral upper limbs.

Case History: 55-year-old female with pain in cervical region radiating to bilateral upper limbs.

Case History: 7-year-old female with complaints of convulsions for one year.

Case History: 21-year-old female presented with the complaints of swelling of right shoulder for one year.

Case History: 36-year-old Asian male presented with complaints of a first episode of generalized tonic-clonic convulsions

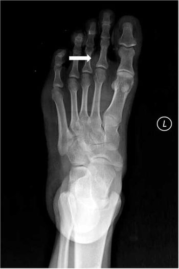
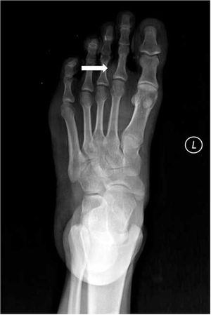
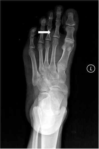
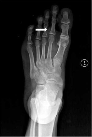
Case History: 38-year-old male with complaints of foot swelling and dull, vague pain.

Case history: A 45-year-old female patient was referred to our hospital with painless swelling on left side of neck. She had been aware of the swelling for the last eight months which was gradually increasing in size

Published: December 19th 2013 | Updated:

Published: September 23rd 2014 | Updated:

Published: April 14th 2015 | Updated:

Published: February 3rd 2015 | Updated:

Published: January 12th 2015 | Updated:

Published: December 8th 2015 | Updated: