
Too much visceral fat may increase a woman’s risk of developing osteoporosis, according to a study presented Tuesday at the annual meeting of the RSNA.

Too much visceral fat may increase a woman’s risk of developing osteoporosis, according to a study presented Tuesday at the annual meeting of the RSNA.

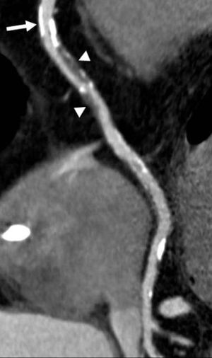
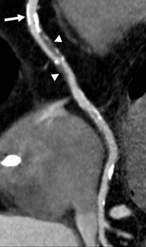
People with obstructive sleep apnea have a higher risk of developing coronary atherosclerosis and coronary artery disease, according to a study presented Tuesday at the annual RSNA meeting.

Published: December 1st 2010 | Updated:

Published: November 30th 2010 | Updated: