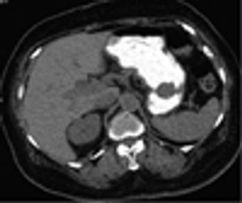
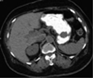
Carney’s TriadByValerie D'Aurora, MD,Michael Sadler, MDFebruary 12th 2013A 77-year-old woman presented to the emergency department complaining of diarrhea for five days and abdominal pain.