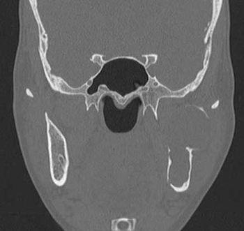
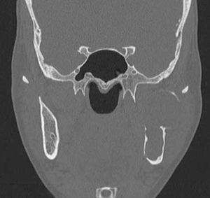
Gorlin-Goltz SyndromeByVenkatraman Indiran, MDDecember 4th 2013Case History: A 32-year-old patient presented for CT scan of the face with history of a painless swelling over the left cheek for four months.