
Despite use of electronic medical records, some critical imaging test result alerts are missed, even when read by one or more healthcare practitioners, according to a study published in the Archives of Internal Medicine.

Despite use of electronic medical records, some critical imaging test result alerts are missed, even when read by one or more healthcare practitioners, according to a study published in the Archives of Internal Medicine.

The University of Virginia has opened a state-of-the-art MR-guided focused ultrasound ablation research institute.

Findings from a large multicenter study suggest 64-slice CT angiography is better suited than other cardiac diagnostic tests for detecting clinically relevant coronary artery plaques in patients with diabetes.

Concerns about the potential adverse reactions of patients to iodinated and gadolinium-based contrast agents used with CT and MRI may be more perceived than real, according to Mayo Clinic researchers.

Older adult women who do not undergo regular screening mammography are more likely to die of breast cancer than women who are scanned, according to a long-term study of breast imaging in Massachusetts.

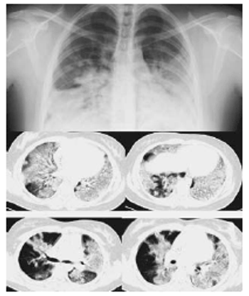
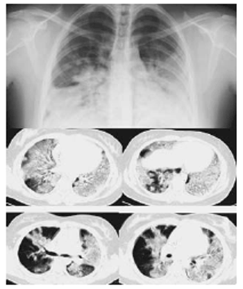
Findings of a Canadian study suggest CT might be better than the standard chest x-ray to show the extent and characterization of H1N1 flu.

Dr. Paul E. Berger, founder and former board chair of NightHawk Radiology, a $168 million teleradiology firm, is advising fellow radiologists to again emphasize their role as stewards of medical imaging to guard against the teleradiology revolution he helped foment.

Using functional MRI, an international research team has established the Wenchuan earthquake on May 12, 2008, exacted a toll beyond the nearly 70,000 deaths and 374,000 casualties from the magnitude 8.0 temblor.

Using functional MRI, researchers in the U.K. have gained a better understanding of what goes on in the minds of patients who have sustained severe neurological damage.

Dr. Kopans criticizes me and others for being “unable to break free of doubts” about the efficacy of mammography and says those who suggest there is ambiguity in its benefit are using “unscientific data analyses” and “scientifically unsupportable” data that have “been manipulated to generate doubt.”

This month's cover story marks a departure for us. Normally, we would feature a clinical review article, or a look at clinical or economic trends written by the magazine's staff.

An alliance of healthcare providers, technology companies, and diagnostic imaging organizations have joined forces to form the Imaging e-Ordering Coalition to prove to the federal government e-ordering is a better alternative to radiology benefit managers.

Bent down with stethoscope against the patient's chest, he listened for what seemed like a week, or maybe two.

Mammography screening is one of the major medical successes of the past several decades, yet this fact seems unable to break free of the doubts promulgated by such articles as Dr. Leonard Berlin's.

For many years, ultrasound has had a defined and very limited role in breast evaluations, being used for neither diagnosis nor detection.

There's an alternative to radiology benefit managers that can cut down on labor hours, save money, and ensure patients receive the right imaging test the first time