
A new formula proposed by the influential Medicare Payment Advisory Commission for calculating practice expense relative value units could cut technical payments for MRI, CT, and PET from the Medicare Physician Fee Schedule by as much as 44%.

A new formula proposed by the influential Medicare Payment Advisory Commission for calculating practice expense relative value units could cut technical payments for MRI, CT, and PET from the Medicare Physician Fee Schedule by as much as 44%.

The U.S. population underwent seven times as much ionizing radiation exposure from medical imaging in 2006 as it did in 1987, mainly from CT, according to a study released at the 2009 National Council on Radiation Protection and Measurements in Bethesda, MD. Overutilization due to self-referral appears to bear some blame.

Low back pain is so common a complaint that physicians increasingly are recommending against invasive therapy for any but the most serious cases. This approach has led researchers to back up a step in patient management and crunch the numbers behind the imaging procedures that are done to assess and monitor this condition. It’s not good news for radiology.

Just as arterial calcium predicts coronary artery disease, the presence and extent of fat accumulations around the heart may indicate the presence of atherosclerosis.

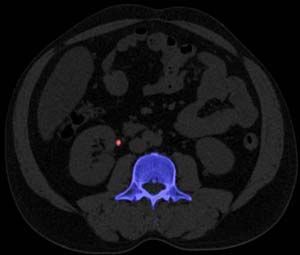
Japanese researchers have established by studying nearly 500 patients that ultrasound is just as useful as CT in diagnosing intraperitoneal free air in patients suffering from abdominal pain or acute injury.

A decision by the Centers for Medicare and Medicaid Services to deny reimbursement for CT colonography screening has shocked radiologists. News that CMS had deemed evidence inadequate to grant coverage left imagers not only dismayed but in disbelief.

The Centers for Medicare and Medicaid Services has proposed that payment for CT colonography be declined, saying there is not enough evidence to support it as a colorectal cancer screening tool.

Multislice CT angiography can save lives by identifying occult congenital cardiac anomalies and disease that could lead to sudden cardiac death among competitive athletes.

Fusion PET/CT detects an additional one-fifth of active lesions from the supraclavicular notch to the adrenals that are not found on chest CT alone, according to a retrospective study.

Analog Devices launches CT converter chipCook Medical refocuses on interventionsGE boosts claims, payment processingHIMSS registration sets record pace

JAMA study highlights CCTA risk, MITA respondsToshiba ties knot with Barco unitStentor founder joins Median

An international clinical trial involving 50 healthcare facilities and nearly 2000 patients has found that physicians often do not apply available dose reduction strategies in procedures, resulting in a wide variation in radiation exposure.

Vaccines, antibiotics, and other therapeuticagents have kept most infectious diseasesunder control in industrialized nations. Indeveloping countries, however, infectious diseaseshave been harder to contain.

Report claims ultrasound will buck economic trendClear Image, Siemens join forces for panel protectionGE, Medipattern extend alliance GE presses low-dose CT

An experienced radiopharmaceutical manufacturer and a leading nuclear power plant builder have joined forces to bring back molybdenum-99 production to the U.S.

The production of molybdenum-99 at the High Flux Reactor in Petten, the Netherlands, may begin again in February, signaling the end to a five-month shortage of medical isotopes essential for nuclear imaging at medical facilities throughout Europe.

A National Research Council panel has concluded that commercial volumes of molybdenum-99 can be produced cost-effectively with low-enriched uranium. Mo-99 is the precursor of technetium-99m, a radioisotope used in most nuclear imaging procedures. The finding establishes a framework for weaning manufacturers of their reliance on nuclear bomb-grade uranium for Mo-99 production.

Researchers at a private diagnostic imaging center in central Florida have shown 3T MRI of the wrist is nearly as sensitive and specific as arthroscopy for detection of wrist ligament tears. MR could spot abnormalities missed by standard imaging tests and avoid needless surgeries, according to the investigators.

A study from the Institute for Energy and Environment Research indicates that U.S. radiation exposure regulations and compliance assessment guidelines often underestimate the risk of radiation for women and children because they are based on standards of a “reference man,” a hypothetical 20- to 30-year-old white male.

The creators of CT screening colonographyhave not waited for the medicalestablishment and insurers to accept itas an alternative to optical colonoscopy.

Nuclear medicine physicians at Mount Sinai Medical Center in New York City have reported encouraging results with dual-isotope SPECT/CT for accurately diagnosing and localizing infection in the feet of diabetic patients.

Medicare’s outpatient imaging program has issued a New Year’s greeting in the form of rules in the 2009 Physician Fee Schedule that raise professional reimbursement rates, expand the discount for contiguous body part imaging to more applications, and introduce anti-markup rules that are far less harsh than those originally proposed.

Increased use of CT to image pneumonia is unlikely to be the sole cause of increased hospital costs for pneumonia patients, according to a study from Brigham and Women’s Hospital in Boston.

Efforts to raise awareness about the associated risks of CT-based radiation exposure and the need to keep children from receiving unnecessary scans seem to be achieving traction among healthcare providers, according to a study by Ohio researchers. Their findings suggest that such increased awareness may make referring physicians less likely to order imaging that involves ionizing radiation for young patients.

The production of molybdenum-99 at the High Flux Reactor in Petten, the Netherlands, is unlikely to restart in February 2009 as had been planned, according to the facility’s operators, the Nuclear Research and Consultancy Group.