
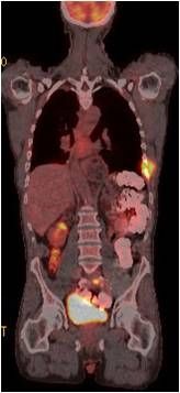
OEM-software supplier ContextVision, its sister provider of end user products SharpView, and the Massachusetts General Hospital are investigating advanced 3D image filtering as a means to boost productivity and improve image quality for MRI, as well as cut dose in CT.









