
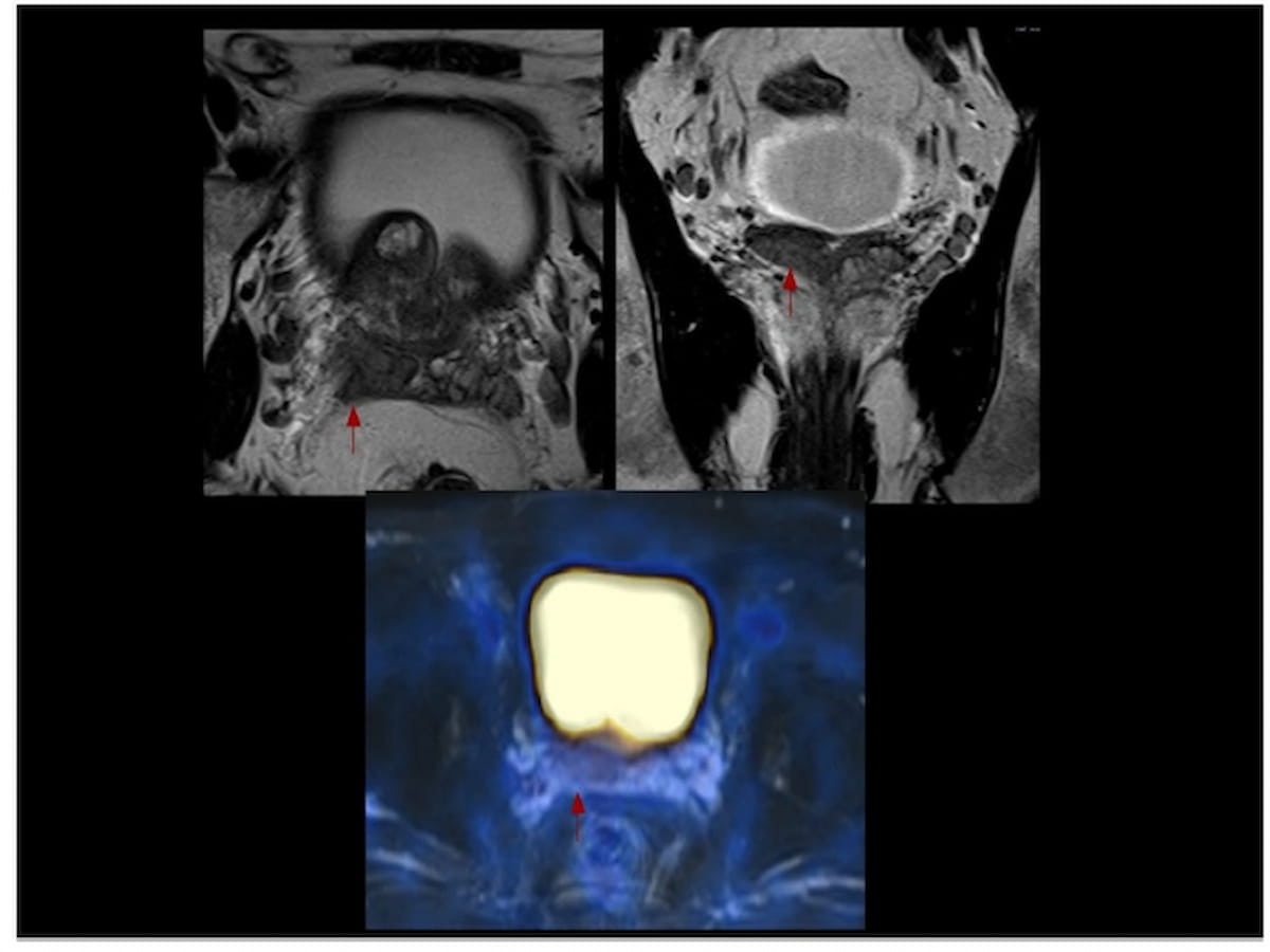
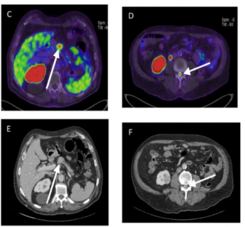
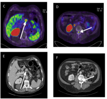
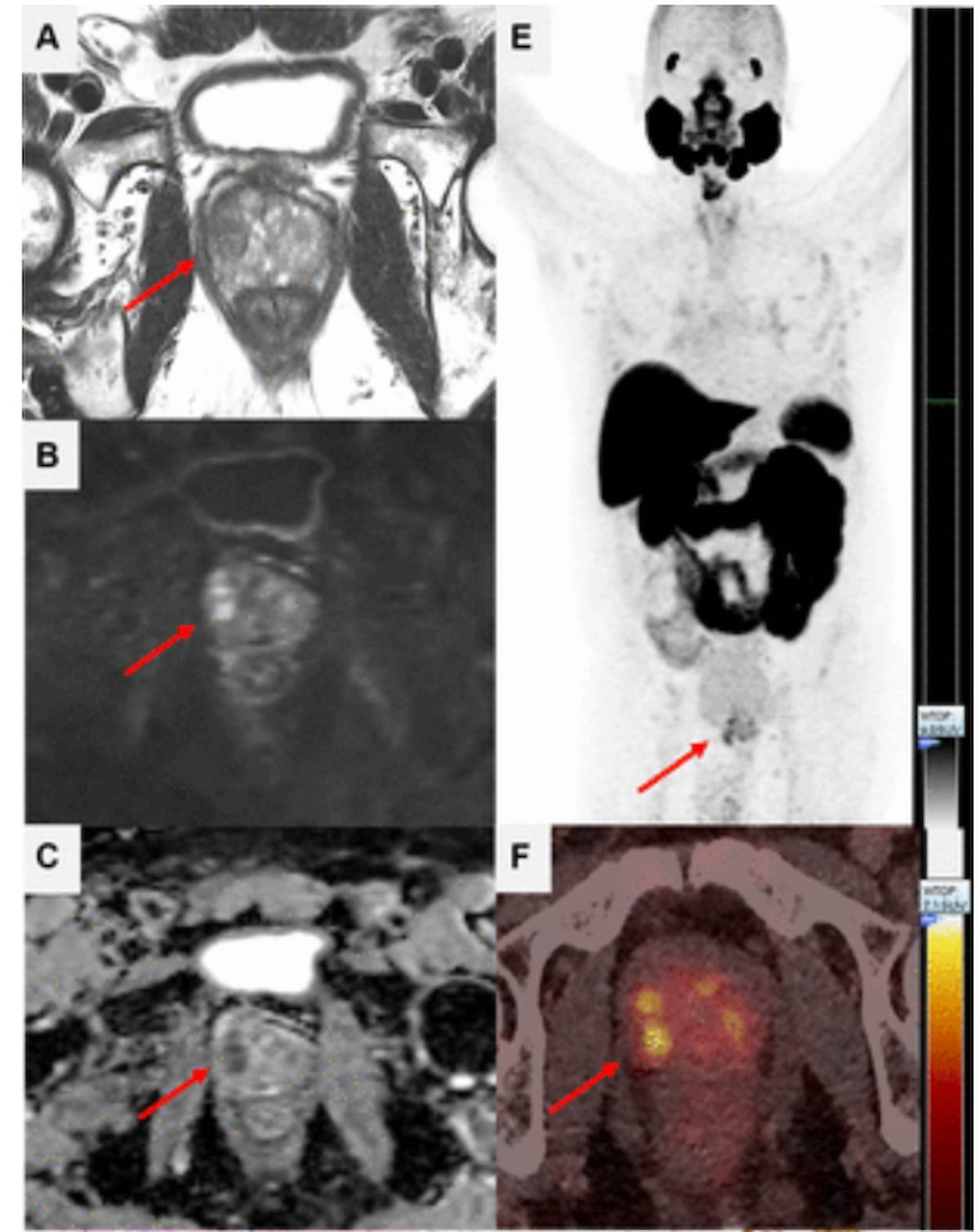
Sixty-five percent of patients with newly diagnosed high-risk prostate cancer may have extraprostatic extension on MRI, and PSMA PET/CT findings suggest those with Gleason scores of eight or higher have more than double the risk of metastasis, according to a new study presented at the European Congress of Radiology (ECR).















































