Review the case and test your knowledge to make the correct diagnosis.
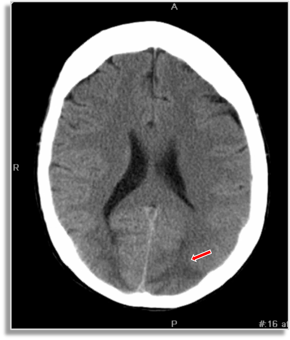
Red arrow: occipital density.

Case contributed by Benjamin W. Strong, MD via vRad.
A 38-year-old female presents with hypertension and visual disturbance. What is the diagnosis?
CT Study: AI Algorithm Comparable to Radiologists in Differentiating Small Renal Masses
May 14th 2024An emerging deep learning algorithm had a lower AUC and sensitivity than urological radiologists for differentiating between small renal masses on computed tomography (CT) scans but had a 21 percent higher sensitivity rate than non-urological radiologists, according to new research.
The Reading Room: Racial and Ethnic Minorities, Cancer Screenings, and COVID-19
November 3rd 2020In this podcast episode, Dr. Shalom Kalnicki, from Montefiore and Albert Einstein College of Medicine, discusses the disparities minority patients face with cancer screenings and what can be done to increase access during the pandemic.
Study Finds High Concordance Between AI and Radiologists for Cervical Spine Fractures on CT
May 6th 2024Researchers found a 98.3 percent concordance between attending radiology reports and AI assessments for possible cervical spine fractures on CT, according to new research presented at the 2024 ARRS Annual Meeting.