New Research Assesses the Impact of Pre-Op MRI on Breast Cancer Recurrence

News
Article

Pre-op breast MRI was associated with a 12.5 percent reduced 5-year cumulative incidence of recurrence for patients who underwent surgery for hormone receptor-negative cancer, according to newly published research.

For breast cancer patients 50 years of age and younger, emerging research demonstrates that preoperative breast magnetic resonance imaging (MRI) may reduce the risks of recurrence for ipsilateral breast cancer and hormone receptor-negative cancer.

For the retrospective study, recently published in Radiology, researchers assessed the impact of pre-op MRI in 4,414 women (mean age of 43.2 years) who had surgery for ipsilateral breast cancer. According to the study, 4,118 women in the cohort had pre-op MRI.

While the study authors found no difference between pre-op MRI and patients with no MRI with respect to total recurrence, they noted a 51 percent reduction in the 5-year cumulative incidence of ipsilateral in-breast recurrence for the pre-op MRI cohort in comparison to women with no MRI.

New Research Assesses the Impact of Pre-Op MRI on Breast Cancer Recurrence

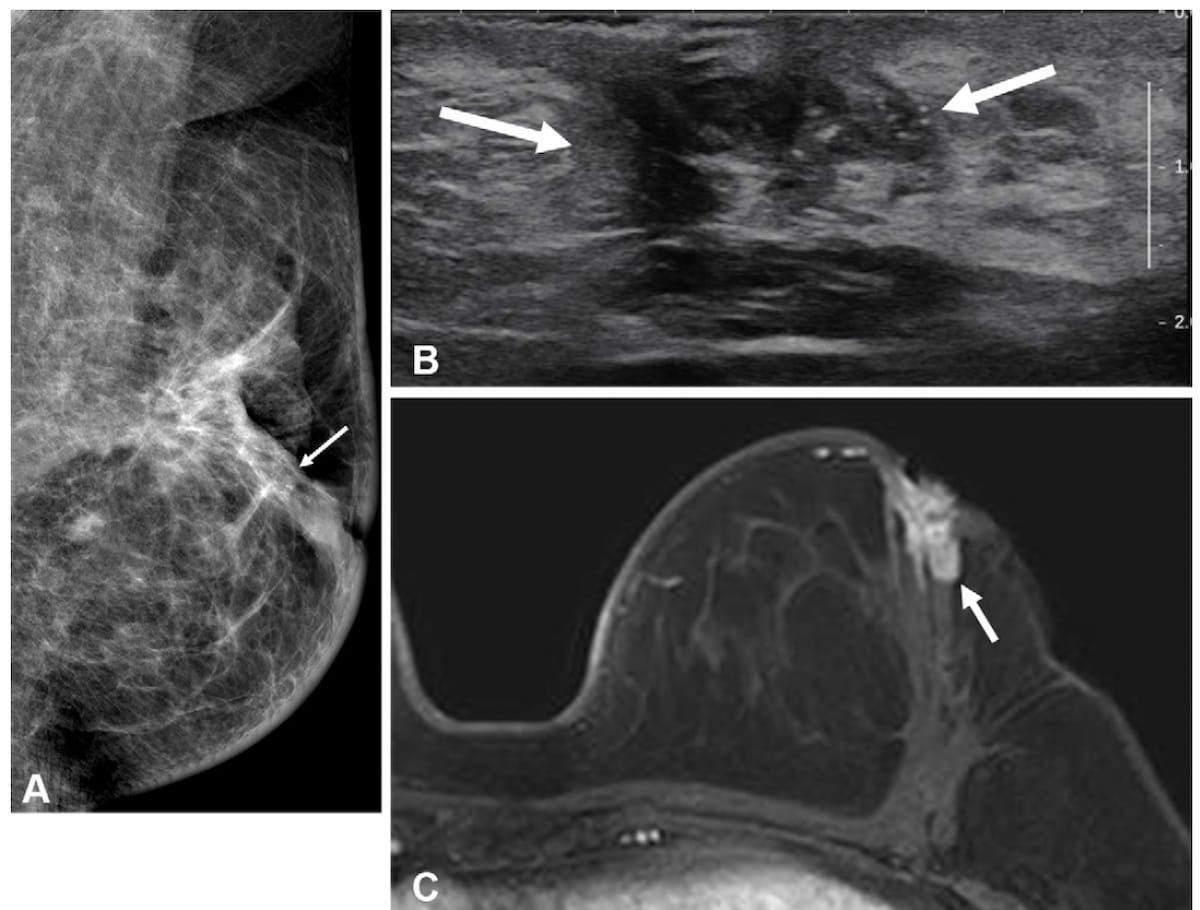
Here one can see mammogram, transverse ultrasound and T1-weighted MRI images for a 49-year-old woman who had a bloody nipple discharge two years after surgery for hormone receptor positive invasive breast cancer. The patient did not have a breast MRI prior to that surgery. The MRI above reveals an irregular, heterogeneously enhancing mass, which was subsequently confirmed as a recurrent invasive ductal carcinoma. (Images courtesy of Radiology.)

“With the increasing incidence of breast cancer in young patients, our results support the selective use of preoperative MRI to lower the risk of ipsilateral in-breast recurrence in patients aged 50 years or younger with newly diagnosed breast cancer who plan to undergo upfront surgery,” wrote lead study author Heera Yoen, M.D., who is affiliated with the Department of Radiology at the Seoul National University Hospital in Seoul, Korea, and colleagues.

For patients who had MRI prior to surgery for hormone receptor-negative cancer, the researchers noted a 12.5 percent reduction in the 5-year cumulative incidence of recurrence in contrast to women with no pre-op MRI (8.2 percent vs. 20.7 percent).

Three Key Takeaways

  1. Reduced ipsilateral recurrence. Preoperative breast MRI was associated with a 51 percent lower 5-year cumulative incidence of ipsilateral in-breast recurrence in women aged 50 years or younger compared to those without pre-op MRI.
  2. Benefit in hormone receptor–negative cancer. Among patients with hormone receptor–negative tumors, pre-op MRI use led to a 12.5 percent reduction in 5-year recurrence risk (8.2 percent vs. 20.7 percent), suggesting enhanced value for this higher-risk subgroup.
  3. No overall survival difference. Despite the recurrence benefits, 5-year overall survival rates were similar between women who had pre-op MRI and those who did not, highlighting MRI’s potential impact on local control rather than mortality.

“The greater benefit of preoperative MRI in patients with hormone receptor–negative tumors may be attributable to the lower responsiveness of these tumors to hormonal therapies and the higher risk of recurrence,” posited Yoen and colleagues. “By enabling the early detection of preoperatively occult malignancies, MRI may help reduce postoperative recurrence in this high-risk subgroup.”

The study authors also noted no difference in overall 5-year survival rates between those who had pre-op breast MRI (99.4 percent) and those who had no MRI (98.6 percent). There was also no difference in 5-year survival rates between the two cohorts with respect to patients who had invasive breast cancer, according to the researchers.

(Editor’s note: For related content, see “Study: Pre-Op MRI Makes No Difference in Outcomes for Women with HER-2 Positive, Hormone-Receptor Negative Breast Cancer,” “Surveillance Breast MRI Associated with Lower Risks of Advanced Second Breast Cancers” and “What New Research Reveals About Preoperative Breast MRI.”)

Beyond the inherent limitations of a retrospective study, the authors noted the relatively small no-MRI cohort, the exclusion of patients treated with neoadjuvant chemotherapy and a lack of evaluation for predicting surgical appropriateness based upon pre-op MRI findings.

Newsletter

Stay at the forefront of radiology with the Diagnostic Imaging newsletter, delivering the latest news, clinical insights, and imaging advancements for today’s radiologists.

Recent Videos
Maintaining Quality Standards for Breast Imaging Amid Rising Imaging Volumes: An Interview with Deepa Sheth, MD
Diagnostic Imaging’s Weekly Scan: October 12 — October 18
Diagnostic Imaging’s Weekly Scan: October 5 — October 11
© 2025 MJH Life Sciences

All rights reserved.