
34-year-old male presented with worsening numbness and increasing weakness in right hand, progressing to proximal right upper extremity.

34-year-old male presented with worsening numbness and increasing weakness in right hand, progressing to proximal right upper extremity.

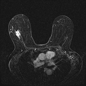
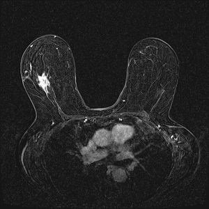
A 72 year-old woman presents for routine screening mammogram with no complaints.

Published: August 28th 2014 | Updated:

Published: December 11th 2014 | Updated: