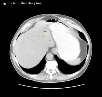
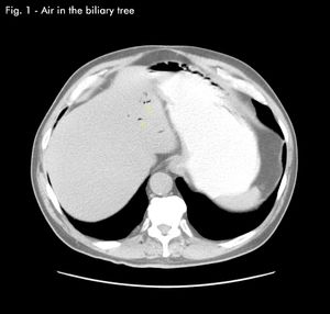
Gallstone IleusByDavid Jacobs, MD,Ken Nalaboff, MDJune 9th 2011 A 70-year-old patient recently presented to an emergency department with a history of abdominal distention, pain and brownish emesis.