News
All NewsBlogs
Media
Around the Practice Between the LinesImage IQMedical World NewsPodcastsRad-ViewVideos
Conferences
Conference CoverageConference Listing
DI Executive
More
Resources
CME/CEE-booksEducationInteractive Tool KitsPartnersSponsored

Subscribe

  • News
  • Media
  • Conferences
  • DI Executive
  • Resources
  • Subscribe
  • AI
    • Technology
  • CT
    • Neurology CT
    • Cardiac CT
    • Women's Health CT
    • Oncology CT
  • Facility Management
    • Technology
  • MRI
    • Neurology MRI
    • Oncology MRI
    • Women's Health MRI
    • Cardiac MRI
  • Mammography
  • Molecular Imaging
  • Ultrasound
    • Women's Health Ultrasound
    • Oncology Ultrasound
    • Cardiac Ultrasound
  • X-Ray
    • Orthopedic X-Ray
Spotlight -
RSNA|
Disease Spotlight: Prostate Cancer|
Rad-View: Generic Contrast Agents |
Rad View: PSMA PET Imaging Recommendations|
Unlock AI-Powered Imaging|
Image IQ Quiz
Advertisement

Deepak Malhotra

Advertisement

Articles by Deepak Malhotra

Philips focuses design efforts on 'meaningful' innovation

ByDeepak Malhotra
November 1st 2009

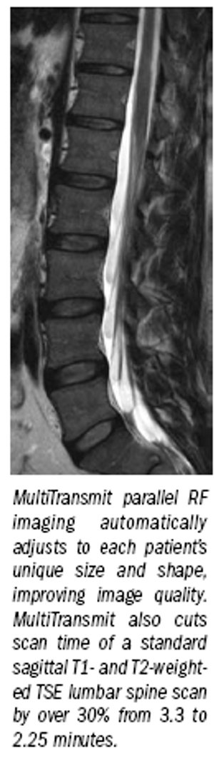
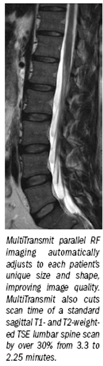
MultiTransmit technology enables customers to realize 3T benefits in breast, body imaging.

Advertisement

Latest Updated Articles

  • Philips focuses design efforts on 'meaningful' innovation
    Philips focuses design efforts on 'meaningful' innovation

    Published: November 1st 2009 | Updated:



Advertisement
Advertisement

Trending on Diagnostic Imaging

1

Diagnostic Imaging's Weekly Scan: December 14 — December 20

2

Keys to Optimizing AI Model Selection and Integration in Radiology

3

Study Assesses Clinical, PET and CT Findings for Lymph Node Metastasis Prediction in Lung Cancer Patients

4

The Benefits and Challenges of Incorporating Advanced Practice Providers into Radiology

5

Can an Integrated Approach with PSMA PET/CT and Prostate MRI Enhance Detection of Extraprostatic Extension?

  • Advertise
  • About
  • Contact Us
  • Editorial
  • Editorial Board
  • Do Not Sell My Personal Information
  • Privacy
  • Terms and Conditions
Contact Info

259 Prospect Plains Rd, Bldg H
Cranbury, NJ 08512

609-716-7777

Brand Logo

© 2025 MJH Life Sciences®

All rights reserved.

Home
About Us
News
Contact Us