
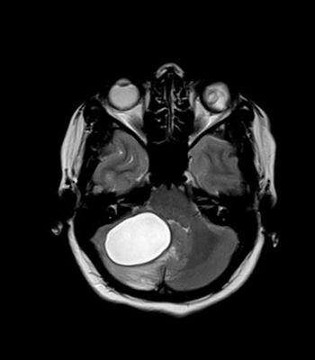
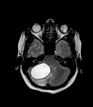
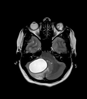
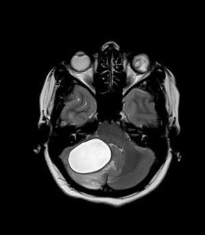
Case history: A 29-year-old female presented in emergency department with recently aggravated headache and vomiting associated with difficulty in walking for seven days.

Case history: A 29-year-old female presented in emergency department with recently aggravated headache and vomiting associated with difficulty in walking for seven days.

A 7-year-old girl presented with difficulty breathing for last three months and mild dull aching pain on left side. She was referred to the Radiology Department for evaluation.

Published: December 24th 2013 | Updated:

Published: May 14th 2012 | Updated: