
Placement of the female breast by keeping a bra on during chest CT did not negatively influence CT imaging quality.

Placement of the female breast by keeping a bra on during chest CT did not negatively influence CT imaging quality.

An ECG-triggered high-pitch CT angiography allowed simultaneous imaging of the heart, head and neck arteries.

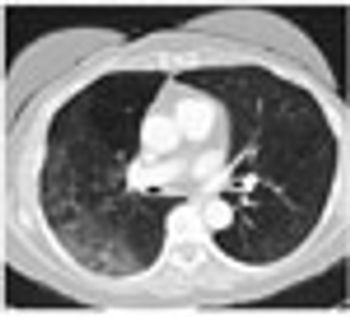
Patients undergoing low dose CT chest screening for lung cancer may also be assessed by automated coronary artery calcification scoring.

3-D MRI provides a lower error margin and allows radiologists to provide faster treatment advice.

Diffusion-tensor MRI and tractography may offer radiologists a noninvasive option for diagnosing esophageal carcinoma.

Women who have previously undergone breast conserving therapy may find a supplemental screening option in MR imaging.

Physicians and radiologists should clearly communicate risks and benefits of imaging procedures, especially for pediatric patients.

Clinical decision support tools can help standardize best practices for radiologists and patients.

Didactic module helps prepare clinicians for managing adverse reactions to media, more training still needed.

Study provides no additional evidence supporting 2008 FDA advisory that warned CT scans potentially interfere with CRM devices.

Fluoroscopic time and contrast media volume were significantly reduced when fellows received one year of formalized training.

Capturing data on CT radiation doses from RIS/PACS databases was more accurate and cost effective than self-reported survey data.

Patients who underwent CT with or without contrast had similar rates of acute kidney injury, showing contrast use isn’t associated with nephropathy.

A radiation oncology department implemented crew resource management for improved communication and an improved safety record.

The Image Wisely campaign launched the latest radiation safety cases designed to test imaging professionals on radiation safety concepts.

Children who underwent CT scans to evaluate for appendicitis at a dedicated children’s hospital were exposed to far less radiation.


The American Society of Clinical Oncology includes PET and PET-CT overuse in list of Top Five procedures to avoid when clinical evidence is lacking.

Reconstructed half-dose CT perfusion imaging and iterative reconstruction produce comparable diagnostic image quality to standard dose.

Using split-bolus spectral multi-detector CT for suspected pancreatic tumor provides better, lower-exposure results than standard protocols.

Low-dose ionizing radiation from cardiac imaging after heart attack poses a greater cancer risk for women than men.

Observing children with minor blunt head trauma longer can help avoid unnecessary CT scans.

Radiation given during CT as part of whole-body PET/CT exams can be safely reduced without comprising image quality.

Stacey A. Funt, MD, a New York radiologist recently created the app My Imaging Records to help people to keep track of their personal medical of dental images.

Fusing MRI and ultrasound may help to better target treatment for prostate cancer.

Inverting radiographs from having the bones viewed as white to having them view as black may help radiologists detect abnormalities.

X-ray use for diagnosing pediatric asthma in the emergency department increased over the last few decades.

Asymptomatic people at high-risk for lung cancer should undergo annual screening with low-dose CT, says USPSTF.

Parents may be underestimate the small increased cancer risk associated with their child undergoing a CT scan.

Low-dose CT lung cancer screening was most beneficial in the 60 percent of people who had the highest likelihood of dying from the disease.