News
All NewsBlogs
Media
Around the Practice Between the LinesImage IQMedical World NewsPodcastsRad-ViewVideos
Conferences
Conference CoverageConference Listing
DI Executive
More
Resources
CME/CEE-booksEducationInteractive Tool KitsPartnersSponsored

Subscribe

  • News
  • Media
  • Conferences
  • DI Executive
  • Resources
  • Subscribe
  • AI
    • Technology
  • CT
    • Neurology CT
    • Cardiac CT
    • Women's Health CT
    • Oncology CT
  • Facility Management
    • Technology
  • MRI
    • Neurology MRI
    • Oncology MRI
    • Women's Health MRI
    • Cardiac MRI
  • Mammography
  • Molecular Imaging
  • Ultrasound
    • Women's Health Ultrasound
    • Oncology Ultrasound
    • Cardiac Ultrasound
  • X-Ray
    • Orthopedic X-Ray
Spotlight -
RSNA|
Disease Spotlight: Prostate Cancer|
Rad-View: Generic Contrast Agents |
Rad View: PSMA PET Imaging Recommendations|
Unlock AI-Powered Imaging|
Image IQ Quiz
Advertisement

Linda Kelahan, MD

Advertisement

Articles by Linda Kelahan, MD

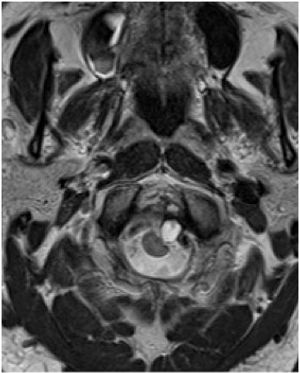
Image IQ: 69 year old man with headaches.

ByLinda Kelahan, MD,Erini Makariou, MD
May 9th 2017

69-year-old man presents with headache.

Advertisement

Latest Updated Articles

  • Image IQ: 69 year old man with headaches.
    Image IQ: 69 year old man with headaches.

    Published: May 9th 2017 | Updated:



Advertisement
Advertisement

Trending on Diagnostic Imaging

1

Can AI Assessment of Non-Calcified Plaque Volume Enhance CT Assessment of MACE Risk Beyond CAC Scoring?

2

Emerging Advances in Radiology Presented at the RSNA Conference

3

Study Looks at Combining PCCT and Lung Texture Analysis for Evaluating ILD in Patients with Systemic Sclerosis

4

Should PSMA PET/CT Supplant MRI For Staging of Patients with High-Risk PCa?

5

Clinical Applications of LLMs in Radiology: Key Takeaways from RSNA 2025

  • Advertise
  • About
  • Contact Us
  • Editorial
  • Editorial Board
  • Do Not Sell My Personal Information
  • Privacy
  • Terms and Conditions
Contact Info

259 Prospect Plains Rd, Bldg H
Cranbury, NJ 08512

609-716-7777

Brand Logo

© 2025 MJH Life Sciences®

All rights reserved.

Home
About Us
News
Contact Us